TBX20 Polyclonal Antibody

Cat.#: 162960

Special Price 226.5 USD

Availability: In Stock
- +

Add to cart to get an online quotation

Product Information

  • Product Name
    TBX20 Polyclonal Antibody
  • Documents
  • Description
    Polyclonal antibody to TBX20
  • Tested applications
    WB, IHC
  • Species reactivity
    Human, Mouse, Rat
  • Alternative names
    TBX20 antibody; ASD4 antibody; T-box 20 antibody
  • Isotype
    Rabbit IgG
  • Preparation
    Antigen: Recombinant fusion protein containing a sequence corresponding to amino acids 1-290 of human TBX20 (NP_001071121.1).
  • Clonality
    Polyclonal
  • Formulation
    PBS with 0.02% sodium azide, 50% glycerol, pH7.3.
  • Storage instructions
    Store at -20℃. Avoid freeze / thaw cycles.
  • Applications
    WB 1:500 - 1:2000
    IHC 1:50 - 1:200
  • Validations

    Western blot - TBX20 Polyclonal Antibody

    Western blot - TBX20 Polyclonal Antibody

    Western blot analysis of extracts of rat heart, using TBX20 antibody at 1:1000 dilution.Secondary antibody: HRP Goat Anti-Rabbit IgG (H+L) at 1:10000 dilution.Lysates/proteins: 25ug per lane.Blocking buffer: 3% nonfat dry milk in TBST.Detection: ECL Basic Kit .Exposure time: 90s.

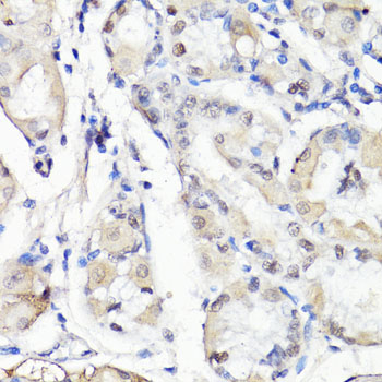
    Immunohistochemistry - TBX20 Polyclonal Antibody

    Immunohistochemistry - TBX20 Polyclonal Antibody

    Immunohistochemistry of paraffin-embedded human stomach using TBX20 antibody at dilution of 1:100 (40x lens).

  • Background
    Acts as a transcriptional activator and repressor required for cardiac development and may have key roles in the maintenance of functional and structural phenotypes in adult heart.

Please note: All products are "FOR RESEARCH USE ONLY AND ARE NOT INTENDED FOR DIAGNOSTIC OR THERAPEUTIC USE"