TAZ Polyclonal Antibody

Cat.#: 165745

Special Price 226.5 USD

Availability: In Stock
- +

Add to cart to get an online quotation

Product Information

  • Product Name
    TAZ Polyclonal Antibody
  • Documents
  • Description
    Polyclonal antibody to TAZ
  • Tested applications
    WB, IHC
  • Species reactivity
    Human, Mouse, Rat
  • Alternative names
    WWTR1 antibody; TAZ antibody; WW domain containing transcription regulator 1 antibody
  • Isotype
    Rabbit IgG
  • Preparation
    Antigen: Recombinant fusion protein containing a sequence corresponding to amino acids 1-230 of human TAZ (NP_056287.1).
  • Clonality
    Polyclonal
  • Formulation
    PBS with 0.02% sodium azide, 50% glycerol, pH7.3.
  • Storage instructions
    Store at -20℃. Avoid freeze / thaw cycles.
  • Applications
    WB 1:500 - 1:2000
    IHC 1:50 - 1:200
  • Validations

    Western blot - TAZ Polyclonal Antibody

    Western blot - TAZ Polyclonal Antibody

    Western blot analysis of extracts of SW480 cells, using TAZ antibody at 1:1000 dilution.Secondary antibody: HRP Goat Anti-Rabbit IgG (H+L) at 1:10000 dilution.Lysates/proteins: 25ug per lane.Blocking buffer: 3% nonfat dry milk in TBST.Detection: ECL Enhanced Kit .Exposure time: 10s.

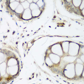
    Immunohistochemistry - TAZ Polyclonal Antibody

    Immunohistochemistry - TAZ Polyclonal Antibody

    Immunohistochemistry of paraffin-embedded human gastric using TAZ antibody at dilution of 1:200 (40x lens).

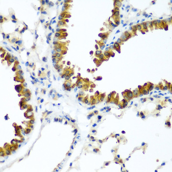
    Immunohistochemistry - TAZ Polyclonal Antibody

    Immunohistochemistry - TAZ Polyclonal Antibody

    Immunohistochemistry of paraffin-embedded mouse lung using TAZ antibody at dilution of 1:200 (40x lens).

  • Background
    Transcriptional coactivator which acts as a downstream regulatory target in the Hippo signaling pathway that plays a pivotal role in organ size control and tumor suppression by restricting proliferation and promoting apoptosis. The core of this pathway is composed of a kinase cascade wherein STK3/MST2 and STK4/MST1, in complex with its regulatory protein SAV1, phosphorylates and activates LATS1/2 in complex with its regulatory protein MOB1, which in turn phosphorylates and inactivates YAP1 oncoprotein and WWTR1/TAZ. WWTR1 enhances PAX8 and NKX2-1/TTF1-dependent gene activation. Regulates the nuclear accumulation of SMADS and has a key role in coupling them to the transcriptional machinery such as the mediator complex. Regulates embryonic stem-cell self-renewal, promotes cell proliferation and epithelial-mesenchymal transition.

Please note: All products are "FOR RESEARCH USE ONLY AND ARE NOT INTENDED FOR DIAGNOSTIC OR THERAPEUTIC USE"