TAF9 Polyclonal Antibody

Cat.#: 163663

Special Price 226.5 USD

Availability: In Stock
- +

Add to cart to get an online quotation

Product Information

  • Product Name
    TAF9 Polyclonal Antibody
  • Documents
  • Description
    Polyclonal antibody to TAF9
  • Tested applications
    WB, IHC
  • Species reactivity
    Human, Rat
  • Alternative names
    TAF9 antibody; MGC:5067 antibody; STAF31/32 antibody; TAF2G antibody; TAFII-31 antibody; TAFII-32 antibody; TAFII31 antibody; TAFII32 antibody; TAFIID32 antibody; TATA-box binding protein associated factor 9 antibody
  • Isotype
    Rabbit IgG
  • Preparation
    Antigen: Recombinant fusion protein containing a sequence corresponding to amino acids 1-172 of human TAF9 (NP_057367.1).
  • Clonality
    Polyclonal
  • Formulation
    PBS with 0.02% sodium azide, 50% glycerol, pH7.3.
  • Storage instructions
    Store at -20℃. Avoid freeze / thaw cycles.
  • Applications
    WB 1:500 - 1:2000
    IHC 1:50 - 1:200
  • Validations

    Western blot - TAF9 Polyclonal Antibody

    Western blot - TAF9 Polyclonal Antibody

    Western blot analysis of extracts of various cell lines, using TAF9 antibody at 1:1000 dilution.Secondary antibody: HRP Goat Anti-Rabbit IgG (H+L) at 1:10000 dilution.Lysates/proteins: 25ug per lane.Blocking buffer: 3% nonfat dry milk in TBST.

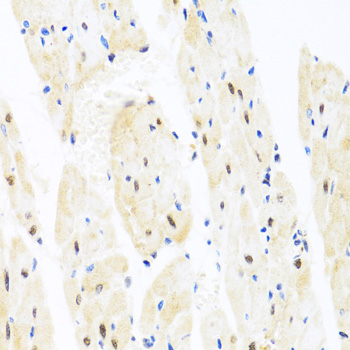
    Immunohistochemistry - TAF9 Polyclonal Antibody

    Immunohistochemistry - TAF9 Polyclonal Antibody

    Immunohistochemistry of paraffin-embedded rat heart using TAF9 antibody at dilution of 1:100 (40x lens).

  • Background
    Essential for cell viability. TAF9 and TAF9B are involved in transcriptional activation as well as repression of distinct but overlapping sets of genes. May have a role in gene regulation associated with apoptosis. TAFs are components of the transcription factor IID (TFIID) complex, the TBP-free TAFII complex (TFTC), the PCAF histone acetylase complex and the STAGA transcription coactivator-HAT complex. TFIID or TFTC are essential for the regulation of RNA polymerase II-mediated transcription.

Please note: All products are "FOR RESEARCH USE ONLY AND ARE NOT INTENDED FOR DIAGNOSTIC OR THERAPEUTIC USE"