-
Product Name
SYNPO Polyclonal Antibody
- Documents
-
Description
Polyclonal antibody to SYNPO
-
Tested applications
WB, IHC
-
Species reactivity
Human, Mouse, Rat
-
Alternative names
SYNPO antibody; synaptopodin antibody
-
Isotype
Rabbit IgG
-
Preparation
Antigen: Recombinant fusion protein containing a sequence corresponding to amino acids 1-260 of human SYNPO (NP_001159680.1).
-
Clonality
Polyclonal
-
Formulation
PBS with 0.02% sodium azide, 50% glycerol, pH7.3.
-
Storage instructions
Store at -20℃. Avoid freeze / thaw cycles.
-
Applications
WB 1:500 - 1:2000
IHC 1:50 - 1:200 -
Validations
Western blot - SYNPO Polyclonal Antibody
Western blot analysis of extracts of various cell lines, using SYNPO antibody at 1:1000 dilution.Secondary antibody: HRP Goat Anti-Rabbit IgG (H+L) at 1:10000 dilution.Lysates/proteins: 25ug per lane.Blocking buffer: 3% nonfat dry milk in TBST.Detection: ECL Basic Kit .Exposure time: 90s.
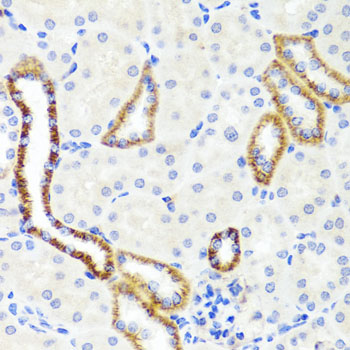
Immunohistochemistry - SYNPO Polyclonal Antibody
Immunohistochemistry of paraffin-embedded mouse kidney using SYNPO antibody at dilution of 1:100 (40x lens).
Immunohistochemistry - SYNPO Polyclonal Antibody
Immunohistochemistry of paraffin-embedded human liver injury using SYNPO antibody at dilution of 1:100 (40x lens).
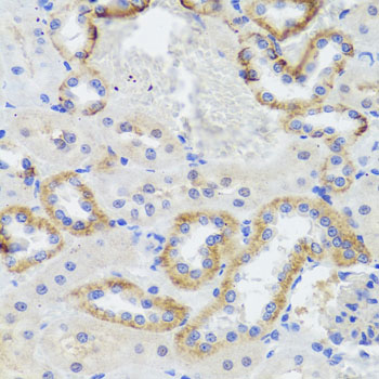
Immunohistochemistry - SYNPO Polyclonal Antibody
Immunohistochemistry of paraffin-embedded rat kidney using SYNPO antibody at dilution of 1:100 (40x lens).
-
Background
Actin-associated protein that may play a role in modulating actin-based shape and motility of dendritic spines and renal podocyte foot processes. Seems to be essential for the formation of spine apparatuses in spines of telencephalic neurons, which is involved in synaptic plasticity (By similarity).
Related Products / Services
Please note: All products are "FOR RESEARCH USE ONLY AND ARE NOT INTENDED FOR DIAGNOSTIC OR THERAPEUTIC USE"