SSRP1 Polyclonal Antibody

Cat.#: 161725

Special Price 226.5 USD

Availability: In Stock
- +

Add to cart to get an online quotation

Product Information

  • Product Name
    SSRP1 Polyclonal Antibody
  • Documents
  • Description
    Polyclonal antibody to SSRP1
  • Tested applications
    WB, IHC, IF
  • Species reactivity
    Human
  • Alternative names
    SSRP1 antibody; FACT antibody; FACT80 antibody; T160 antibody; FACT complex subunit SSRP1 antibody
  • Isotype
    Rabbit IgG
  • Preparation
    Antigen: Recombinant fusion protein containing a sequence corresponding to amino acids 1-300 of human SSRP1 (NP_003137.1).
  • Clonality
    Polyclonal
  • Formulation
    PBS with 0.02% sodium azide, 50% glycerol, pH7.3.
  • Storage instructions
    Store at -20℃. Avoid freeze / thaw cycles.
  • Applications
    WB 1:500 - 1:2000
    IHC 1:50 - 1:200
    IF 1:50 - 1:200
  • Validations

    Western blot - SSRP1 Polyclonal Antibody

    Western blot - SSRP1 Polyclonal Antibody

    Western blot analysis of extracts of various cell lines, using SSRP1 antibody at 1:1000 dilution.Secondary antibody: HRP Goat Anti-Rabbit IgG (H+L) at 1:10000 dilution.Lysates/proteins: 25ug per lane.Blocking buffer: 3% nonfat dry milk in TBST.Detection: ECL Enhanced Kit .Exposure time: 90s.

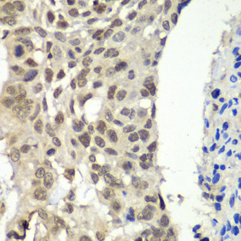
    Immunohistochemistry - SSRP1 Polyclonal Antibody

    Immunohistochemistry - SSRP1 Polyclonal Antibody

    Immunohistochemistry of paraffin-embedded human esophageal cancer using SSRP1 antibody at dilution of 1:100 (40x lens).

    Immunofluorescence - SSRP1 Polyclonal Antibody

    Immunofluorescence - SSRP1 Polyclonal Antibody

    Immunofluorescence analysis of HeLa cells using SSRP1 antibody .

  • Background
    Component of the FACT complex, a general chromatin factor that acts to reorganize nucleosomes. The FACT complex is involved in multiple processes that require DNA as a template such as mRNA elongation, DNA replication and DNA repair. During transcription elongation the FACT complex acts as a histone chaperone that both destabilizes and restores nucleosomal structure. It facilitates the passage of RNA polymerase II and transcription by promoting the dissociation of one histone H2A-H2B dimer from the nucleosome, then subsequently promotes the reestablishment of the nucleosome following the passage of RNA polymerase II. The FACT complex is probably also involved in phosphorylation of 'Ser-392' of p53/TP53 via its association with CK2 (casein kinase II). Binds specifically to double-stranded DNA and at low levels to DNA modified by the antitumor agent cisplatin. May potentiate cisplatin-induced cell death by blocking replication and repair of modified DNA. Also acts as a transcriptional coactivator for p63/TP63.

Please note: All products are "FOR RESEARCH USE ONLY AND ARE NOT INTENDED FOR DIAGNOSTIC OR THERAPEUTIC USE"