SPTLC1 Polyclonal Antibody

Cat.#: 165018

Special Price 226.5 USD

Availability: In Stock
- +

Add to cart to get an online quotation

Product Information

  • Product Name
    SPTLC1 Polyclonal Antibody
  • Documents
  • Description
    Polyclonal antibody to SPTLC1
  • Tested applications
    WB, IHC
  • Species reactivity
    Human, Mouse, Rat
  • Alternative names
    SPTLC1 antibody; HSAN1 antibody; HSN1 antibody; LBC1 antibody; LCB1 antibody; SPT1 antibody; SPTI antibody; serine palmitoyltransferase 1 antibody
  • Isotype
    Rabbit IgG
  • Preparation
    Antigen: Recombinant fusion protein containing a sequence corresponding to amino acids 37-310 of human SPTLC1 (NP_006406.1).
  • Clonality
    Polyclonal
  • Formulation
    PBS with 0.02% sodium azide, 50% glycerol, pH7.3.
  • Storage instructions
    Store at -20℃. Avoid freeze / thaw cycles.
  • Applications
    WB 1:500 - 1:2000
    IHC 1:50 - 1:200
  • Validations

    Western blot - SPTLC1 Polyclonal Antibody

    Western blot - SPTLC1 Polyclonal Antibody

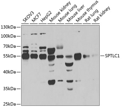
    Western blot analysis of extracts of various cell lines, using SPTLC1 antibody at 1:1000 dilution.Secondary antibody: HRP Goat Anti-Rabbit IgG (H+L) at 1:10000 dilution.Lysates/proteins: 25ug per lane.Blocking buffer: 3% nonfat dry milk in TBST.Detection: ECL Basic Kit .Exposure time: 90s.

    Immunohistochemistry - SPTLC1 Polyclonal Antibody

    Immunohistochemistry - SPTLC1 Polyclonal Antibody

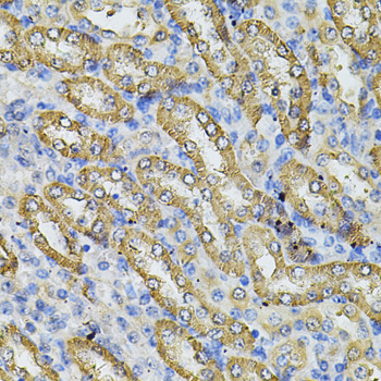
    Immunohistochemistry of paraffin-embedded human kidney using SPTLC1 Antibody at dilution of 1:100 (40x lens).

    Immunohistochemistry - SPTLC1 Polyclonal Antibody

    Immunohistochemistry - SPTLC1 Polyclonal Antibody

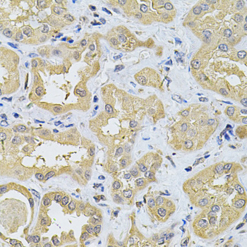
    Immunohistochemistry of paraffin-embedded mouse kidney using SPTLC1 Antibody at dilution of 1:100 (40x lens).

  • Background
    Serine palmitoyltransferase (SPT). The heterodimer formed with SPTLC2 or SPTLC3 constitutes the catalytic core. The composition of the serine palmitoyltransferase (SPT) complex determines the substrate preference. The SPTLC1-SPTLC2-SPTSSA complex shows a strong preference for C16-CoA substrate, while the SPTLC1-SPTLC3-SPTSSA isozyme uses both C14-CoA and C16-CoA as substrates, with a slight preference for C14-CoA. The SPTLC1-SPTLC2-SPTSSB complex shows a strong preference for C18-CoA substrate, while the SPTLC1-SPTLC3-SPTSSB isozyme displays an ability to use a broader range of acyl-CoAs, without apparent preference. Required for adipocyte cell viability and metabolic homeostasis (By similarity).

Please note: All products are "FOR RESEARCH USE ONLY AND ARE NOT INTENDED FOR DIAGNOSTIC OR THERAPEUTIC USE"