SPDEF Polyclonal Antibody

Cat.#: 161931

Special Price 226.5 USD

Availability: In Stock
- +

Add to cart to get an online quotation

Product Information

  • Product Name
    SPDEF Polyclonal Antibody
  • Documents
  • Description
    Polyclonal antibody to SPDEF
  • Tested applications
    WB, IHC, IF
  • Species reactivity
    Human, Mouse, Rat
  • Alternative names
    SPDEF antibody; PDEF antibody; bA375E1.3 antibody; SAM pointed domain-containing Ets transcription factor antibody
  • Isotype
    Rabbit IgG
  • Preparation
    Antigen: Recombinant fusion protein containing a sequence corresponding to amino acids 1-335 of human SPDEF (NP_036523.1).
  • Clonality
    Polyclonal
  • Formulation
    PBS with 0.02% sodium azide, 50% glycerol, pH7.3.
  • Storage instructions
    Store at -20℃. Avoid freeze / thaw cycles.
  • Applications
    WB 1:500 - 1:1000
    IHC 1:50 - 1:200
    IF 1:50 - 1:100
  • Validations

    Western blot - SPDEF Polyclonal Antibody

    Western blot - SPDEF Polyclonal Antibody

    Western blot analysis of extracts of rat ovary, using SPDEF antibody at 1:1000 dilution.Secondary antibody: HRP Goat Anti-Rabbit IgG (H+L) at 1:10000 dilution.Lysates/proteins: 25ug per lane.Blocking buffer: 3% nonfat dry milk in TBST.Detection: ECL Basic Kit .Exposure time: 30s.

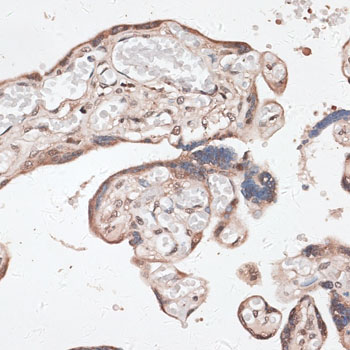
    Immunohistochemistry - SPDEF Polyclonal Antibody

    Immunohistochemistry - SPDEF Polyclonal Antibody

    Immunohistochemistry of paraffin-embedded human placenta using SPDEF antibody at dilution of 1:100 (40x lens).

    Immunofluorescence - SPDEF Polyclonal Antibody

    Immunofluorescence - SPDEF Polyclonal Antibody

    Immunofluorescence analysis of MCF7 cells using SPDEF antibody .

  • Background
    May function as an androgen-independent transactivator of the prostate-specific antigen (PSA) promoter. Binds to 5'-GGAT-3' DNA sequences. May play a role in the regulation of the prostate gland and/or prostate cancer development. Acts as a transcriptional activator for SERPINB5 promoter.

Please note: All products are "FOR RESEARCH USE ONLY AND ARE NOT INTENDED FOR DIAGNOSTIC OR THERAPEUTIC USE"