SOCS5 Polyclonal Antibody

Cat.#: 165629

Special Price 226.5 USD

Availability: In Stock
- +

Add to cart to get an online quotation

Product Information

  • Product Name
    SOCS5 Polyclonal Antibody
  • Documents
  • Description
    Polyclonal antibody to SOCS5
  • Tested applications
    WB, IHC, IF
  • Species reactivity
    Human, Mouse, Rat
  • Alternative names
    SOCS5 antibody; CIS6 antibody; CISH6 antibody; Cish5 antibody; SOCS-5 antibody; suppressor of cytokine signaling 5 antibody
  • Isotype
    Rabbit IgG
  • Preparation
    Antigen: Recombinant fusion protein containing a sequence corresponding to amino acids 1-140 of human SOCS5 (NP_054730.1).
  • Clonality
    Polyclonal
  • Formulation
    PBS with 0.02% sodium azide, 50% glycerol, pH7.3.
  • Storage instructions
    Store at -20℃. Avoid freeze / thaw cycles.
  • Applications
    WB 1:500 - 1:2000
    IHC 1:50 - 1:200
    IF 1:50 - 1:200
  • Validations

    Western blot - SOCS5 Polyclonal Antibody

    Western blot - SOCS5 Polyclonal Antibody

    Western blot analysis of extracts of various cell lines, using SOCS5 antibody at 1:1000 dilution.Secondary antibody: HRP Goat Anti-Rabbit IgG (H+L) at 1:10000 dilution.Lysates/proteins: 25ug per lane.Blocking buffer: 3% nonfat dry milk in TBST.Detection: ECL Basic Kit .Exposure time: 60s.

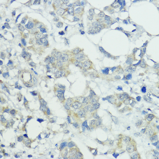
    Immunohistochemistry - SOCS5 Polyclonal Antibody

    Immunohistochemistry - SOCS5 Polyclonal Antibody

    Immunohistochemistry of paraffin-embedded human mammary cancer using SOCS5 antibody at dilution of 1:100 (40x lens).

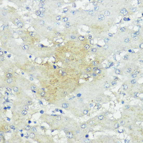
    Immunohistochemistry - SOCS5 Polyclonal Antibody

    Immunohistochemistry - SOCS5 Polyclonal Antibody

    Immunohistochemistry of paraffin-embedded human liver cancer using SOCS5 antibody at dilution of 1:100 (40x lens).

    Immunohistochemistry - SOCS5 Polyclonal Antibody

    Immunohistochemistry - SOCS5 Polyclonal Antibody

    Immunohistochemistry of paraffin-embedded human lung cancer using SOCS5 antibody at dilution of 1:100 (40x lens).

  • Background
    SOCS family proteins form part of a classical negative feedback system that regulates cytokine signal transduction. May be a substrate-recognition component of a SCF-like ECS (Elongin BC-CUL2/5-SOCS-box protein) E3 ubiquitin-protein ligase complex which mediates the ubiquitination and subsequent proteasomal degradation of target proteins. Inhibits for instance EGF signaling by mediating the degradation of the EGF receptor/EGFR. Involved in the regulation of T-helper cell differentiation by inhibiting of the IL4 signaling pathway which promotes differentiation into the Th2 phenotype. Can also partially inhibit IL6 and LIF signaling.

Please note: All products are "FOR RESEARCH USE ONLY AND ARE NOT INTENDED FOR DIAGNOSTIC OR THERAPEUTIC USE"