SNRPA Polyclonal Antibody

Cat.#: 164858

Special Price 226.5 USD

Availability: In Stock
- +

Add to cart to get an online quotation

Product Information

  • Product Name
    SNRPA Polyclonal Antibody
  • Documents
  • Description
    Polyclonal antibody to SNRPA
  • Tested applications
    WB, IHC, IF
  • Species reactivity
    Human, Mouse, Rat
  • Alternative names
    SNRPA antibody; Mud1 antibody; U1-A antibody; U1A antibody; U1 small nuclear ribonucleoprotein A antibody
  • Isotype
    Rabbit IgG
  • Preparation
    Antigen: Recombinant fusion protein containing a sequence corresponding to amino acids 1-282 of human SNRPA (NP_004587.1).
  • Clonality
    Polyclonal
  • Formulation
    PBS with 0.02% sodium azide, 50% glycerol, pH7.3.
  • Storage instructions
    Store at -20℃. Avoid freeze / thaw cycles.
  • Applications
    WB 1:500 - 1:2000
    IHC 1:50 - 1:200
    IF 1:50 - 1:200
  • Validations

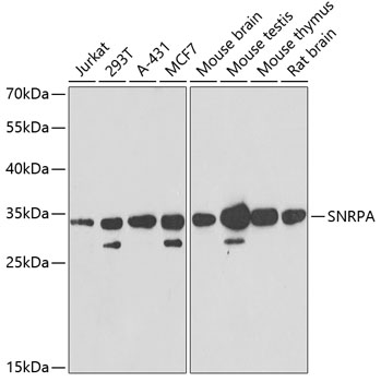
    Western blot - SNRPA Polyclonal Antibody

    Western blot - SNRPA Polyclonal Antibody

    Western blot analysis of extracts of various cell lines, using SNRPA antibody at 1:1000 dilution.Secondary antibody: HRP Goat Anti-Rabbit IgG (H+L) at 1:10000 dilution.Lysates/proteins: 25ug per lane.Blocking buffer: 3% nonfat dry milk in TBST.Detection: ECL Basic Kit .Exposure time: 90s.

    Immunohistochemistry - SNRPA Polyclonal Antibody

    Immunohistochemistry - SNRPA Polyclonal Antibody

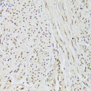
    Immunohistochemistry of paraffin-embedded human adenomyosis using SNRPA Antibody at dilution of 1:100 (40x lens).

    Immunohistochemistry - SNRPA Polyclonal Antibody

    Immunohistochemistry - SNRPA Polyclonal Antibody

    Immunohistochemistry of paraffin-embedded human breast using SNRPA Antibody at dilution of 1:100 (40x lens).

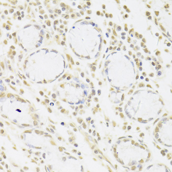
    Immunohistochemistry - SNRPA Polyclonal Antibody

    Immunohistochemistry - SNRPA Polyclonal Antibody

    Immunohistochemistry of paraffin-embedded mouse brain using SNRPA Antibody at dilution of 1:100 (40x lens).

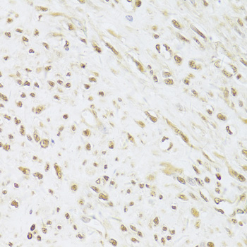
    Immunohistochemistry - SNRPA Polyclonal Antibody

    Immunohistochemistry - SNRPA Polyclonal Antibody

    Immunohistochemistry of paraffin-embedded rat brain using SNRPA Antibody at dilution of 1:100 (40x lens).

    Immunohistochemistry - SNRPA Polyclonal Antibody

    Immunohistochemistry - SNRPA Polyclonal Antibody

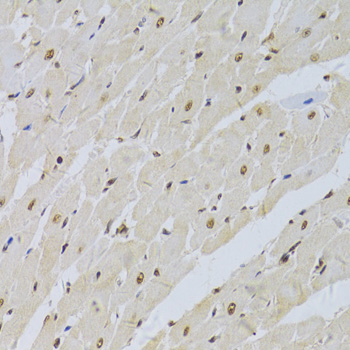
    Immunohistochemistry of paraffin-embedded rat heart using SNRPA Antibody at dilution of 1:100 (40x lens).

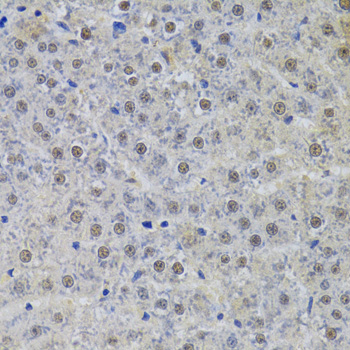
    Immunohistochemistry - SNRPA Polyclonal Antibody

    Immunohistochemistry - SNRPA Polyclonal Antibody

    Immunohistochemistry of paraffin-embedded rat liver using SNRPA Antibody at dilution of 1:100 (40x lens).

    Immunohistochemistry - SNRPA Polyclonal Antibody

    Immunohistochemistry - SNRPA Polyclonal Antibody

    Immunohistochemistry of paraffin-embedded rat brain using SNRPA Antibody at dilution of 1:100 (40x lens).

    Immunohistochemistry - SNRPA Polyclonal Antibody

    Immunohistochemistry - SNRPA Polyclonal Antibody

    Immunohistochemistry of paraffin-embedded rat heart using SNRPA Antibody at dilution of 1:100 (40x lens).

    Immunohistochemistry - SNRPA Polyclonal Antibody

    Immunohistochemistry - SNRPA Polyclonal Antibody

    Immunohistochemistry of paraffin-embedded human breast using SNRPA Antibody at dilution of 1:100 (40x lens).

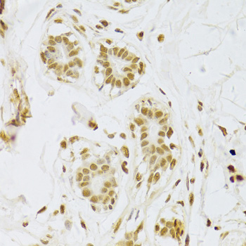
    Immunohistochemistry - SNRPA Polyclonal Antibody

    Immunohistochemistry - SNRPA Polyclonal Antibody

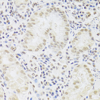
    Immunohistochemistry of paraffin-embedded human stomach using SNRPA Antibody at dilution of 1:100 (40x lens).

    Immunohistochemistry - SNRPA Polyclonal Antibody

    Immunohistochemistry - SNRPA Polyclonal Antibody

    Immunohistochemistry of paraffin-embedded human gastric cancer using SNRPA Antibody at dilution of 1:100 (40x lens).

  • Background
    Component of the spliceosomal U1 snRNP, which is essential for recognition of the pre-mRNA 5' splice-site and the subsequent assembly of the spliceosome. U1 snRNP is the first snRNP to interact with pre-mRNA. This interaction is required for the subsequent binding of U2 snRNP and the U4/U6/U5 tri-snRNP. SNRPA binds stem loop II of U1 snRNA. In a snRNP-free form (SF-A) may be involved in coupled pre-mRNA splicing and polyadenylation process. May bind preferentially to the 5'-UGCAC-3' motif on RNAs.

Please note: All products are "FOR RESEARCH USE ONLY AND ARE NOT INTENDED FOR DIAGNOSTIC OR THERAPEUTIC USE"