SNCG Polyclonal Antibody

Cat.#: 163816

Special Price 226.5 USD

Availability: In Stock
- +

Add to cart to get an online quotation

Product Information

  • Product Name
    SNCG Polyclonal Antibody
  • Documents
  • Description
    Polyclonal antibody to SNCG
  • Tested applications
    WB, IHC, IF
  • Species reactivity
    Human, Mouse
  • Alternative names
    SNCG antibody; BCSG1 antibody; SR antibody; gamma-synuclein antibody
  • Isotype
    Rabbit IgG
  • Preparation
    Antigen: Recombinant fusion protein containing a sequence corresponding to amino acids 1-127 of human SNCG (NP_003078.2).
  • Clonality
    Polyclonal
  • Formulation
    PBS with 0.02% sodium azide, 50% glycerol, pH7.3.
  • Storage instructions
    Store at -20℃. Avoid freeze / thaw cycles.
  • Applications
    WB 1:500 - 1:2000
    IHC 1:50 - 1:200
    IF 1:50 - 1:200
  • Validations

    Western blot - SNCG Polyclonal Antibody

    Western blot - SNCG Polyclonal Antibody

    Western blot analysis of extracts of various cell lines, using SNCG antibody at 1:1000 dilution.Secondary antibody: HRP Goat Anti-Rabbit IgG (H+L) at 1:10000 dilution.Lysates/proteins: 25ug per lane.Blocking buffer: 3% nonfat dry milk in TBST.Detection: ECL Basic Kit .Exposure time: 60s.

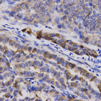
    Immunohistochemistry - SNCG Polyclonal Antibody

    Immunohistochemistry - SNCG Polyclonal Antibody

    Immunohistochemistry of paraffin-embedded human thyroid cancer using SNCG antibody at dilution of 1:200 (40x lens).

    Immunofluorescence - SNCG Polyclonal Antibody

    Immunofluorescence - SNCG Polyclonal Antibody

    Immunofluorescence analysis of U2OS cells using SNCG antibody . Blue: DAPI for nuclear staining.

  • Background
    Plays a role in neurofilament network integrity. May be involved in modulating axonal architecture during development and in the adult. In vitro, increases the susceptibility of neurofilament-H to calcium-dependent proteases (By similarity). May also function in modulating the keratin network in skin. Activates the MAPK and Elk-1 signal transduction pathway (By similarity).

Please note: All products are "FOR RESEARCH USE ONLY AND ARE NOT INTENDED FOR DIAGNOSTIC OR THERAPEUTIC USE"