SMYD5 Polyclonal Antibody

Cat.#: 164763

Special Price 226.5 USD

Availability: In Stock
- +

Add to cart to get an online quotation

Product Information

  • Product Name
    SMYD5 Polyclonal Antibody
  • Documents
  • Description
    Polyclonal antibody to SMYD5
  • Tested applications
    WB, IHC, IF
  • Species reactivity
    Human, Mouse, Rat
  • Alternative names
    SMYD5 antibody; NN8-4AG antibody; RAI15 antibody; RRG1 antibody; ZMYND23 antibody; SMYD family member 5 antibody
  • Isotype
    Rabbit IgG
  • Preparation
    Antigen: Recombinant protein of human SMYD5
  • Clonality
    Polyclonal
  • Formulation
    PBS with 0.02% sodium azide, 50% glycerol, pH7.3.
  • Storage instructions
    Store at -20℃. Avoid freeze / thaw cycles.
  • Applications
    WB 1:500 - 1:2000
    IHC 1:50 - 1:100
    IF 1:50 - 1:100
  • Validations

    Western blot - SMYD5 Polyclonal Antibody

    Western blot - SMYD5 Polyclonal Antibody

    Western blot analysis of extracts of various cell lines, using SMYD5 antibody .Secondary antibody: HRP Goat Anti-Rabbit IgG (H+L) at 1:10000 dilution.Lysates/proteins: 25ug per lane.Blocking buffer: 3% nonfat dry milk in TBST.

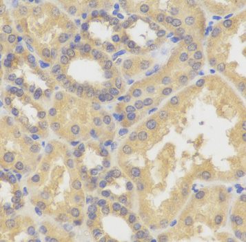
    Immunohistochemistry - SMYD5 Polyclonal Antibody

    Immunohistochemistry - SMYD5 Polyclonal Antibody

    Immunohistochemistry of paraffin-embedded human kidney using SMYD5 antibody .

    Immunofluorescence - SMYD5 Polyclonal Antibody

    Immunofluorescence - SMYD5 Polyclonal Antibody

    Immunofluorescence analysis of A549 cells using SMYD5 antibody . Blue: DAPI for nuclear staining.

Please note: All products are "FOR RESEARCH USE ONLY AND ARE NOT INTENDED FOR DIAGNOSTIC OR THERAPEUTIC USE"