SMN2 Polyclonal Antibody

Cat.#: 161179

Special Price 226.5 USD

Availability: In Stock
- +

Add to cart to get an online quotation

Product Information

  • Product Name
    SMN2 Polyclonal Antibody
  • Documents
  • Description
    Polyclonal antibody to SMN2
  • Tested applications
    WB, IHC, IF, IP
  • Species reactivity
    Human, Mouse, Rat
  • Alternative names
    SMN2 antibody; BCD541 antibody; C-BCD541 antibody; GEMIN1 antibody; SMNC antibody; TDRD16B antibody; survival motor neuron protein antibody
  • Isotype
    Rabbit IgG
  • Preparation
    Antigen: Recombinant fusion protein containing a sequence corresponding to amino acids 1-197 of human SMN2 (NP_059107.1).
  • Clonality
    Polyclonal
  • Formulation
    PBS with 0.02% sodium azide, 50% glycerol, pH7.3.
  • Storage instructions
    Store at -20℃. Avoid freeze / thaw cycles.
  • Applications
    WB 1:500 - 1:2000
    IHC 1:50 - 1:200
    IF 1:50 - 1:200
    IP 1:20 - 1:50
  • Validations

    Western blot - SMN2 Polyclonal Antibody

    Western blot - SMN2 Polyclonal Antibody

    Western blot analysis of extracts of various cell lines, using SMN2 antibody at 1:1000 dilution.Secondary antibody: HRP Goat Anti-Rabbit IgG (H+L) at 1:10000 dilution.Lysates/proteins: 25ug per lane.Blocking buffer: 3% nonfat dry milk in TBST.Detection: ECL Basic Kit .Exposure time: 10s.

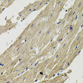
    Immunohistochemistry - SMN2 Polyclonal Antibody

    Immunohistochemistry - SMN2 Polyclonal Antibody

    Immunohistochemistry of paraffin-embedded rat heart using SMN2 antibody (40x lens).

    Immunohistochemistry - SMN2 Polyclonal Antibody

    Immunohistochemistry - SMN2 Polyclonal Antibody

    Immunohistochemistry of paraffin-embedded human prostate using SMN2 antibody (40x lens).

    Immunofluorescence - SMN2 Polyclonal Antibody

    Immunofluorescence - SMN2 Polyclonal Antibody

    Immunofluorescence analysis of U2OS cells using SMN2 antibody at dilution of 1:100. Blue: DAPI for nuclear staining.

  • Background
    The SMN complex plays a catalyst role in the assembly of small nuclear ribonucleoproteins (snRNPs), the building blocks of the spliceosome. Thereby, plays an important role in the splicing of cellular pre-mRNAs. Most spliceosomal snRNPs contain a common set of Sm proteins SNRPB, SNRPD1, SNRPD2, SNRPD3, SNRPE, SNRPF and SNRPG that assemble in a heptameric protein ring on the Sm site of the small nuclear RNA to form the core snRNP. In the cytosol, the Sm proteins SNRPD1, SNRPD2, SNRPE, SNRPF and SNRPG are trapped in an inactive 6S pICln-Sm complex by the chaperone CLNS1A that controls the assembly of the core snRNP. Dissociation by the SMN complex of CLNS1A from the trapped Sm proteins and their transfer to an SMN-Sm complex triggers the assembly of core snRNPs and their transport to the nucleus. Ensures the correct splicing of U12 intron-containing genes that may be important for normal motor and proprioceptive neurons development. Also required for resolving RNA-DNA hybrids created by RNA polymerase II, that form R-loop in transcription terminal regions, an important step in proper transcription termination. May also play a role in the metabolism of small nucleolar ribonucleoprotein (snoRNPs).

Please note: All products are "FOR RESEARCH USE ONLY AND ARE NOT INTENDED FOR DIAGNOSTIC OR THERAPEUTIC USE"