SLC39A7 Polyclonal Antibody

Cat.#: 164098

Special Price 226.5 USD

Availability: In Stock
- +

Add to cart to get an online quotation

Product Information

  • Product Name
    SLC39A7 Polyclonal Antibody
  • Documents
  • Description
    Polyclonal antibody to SLC39A7
  • Tested applications
    WB, IHC
  • Species reactivity
    Human, Mouse, Rat
  • Alternative names
    SLC39A7 antibody; D6S115E antibody; D6S2244E antibody; H2-KE4 antibody; HKE4 antibody; KE4 antibody; RING5 antibody; ZIP7 antibody; zinc transporter SLC39A7 antibody
  • Isotype
    Rabbit IgG
  • Preparation
    Antigen: Recombinant fusion protein containing a sequence corresponding to amino acids 235-380 of human SLC39A7 (NP_008910.2).
  • Clonality
    Polyclonal
  • Formulation
    PBS with 0.02% sodium azide, 50% glycerol, pH7.3.
  • Storage instructions
    Store at -20℃. Avoid freeze / thaw cycles.
  • Applications
    WB 1:1000 - 1:3000
    IHC 1:100 - 1:200
  • Validations

    Western blot - SLC39A7 Polyclonal Antibody

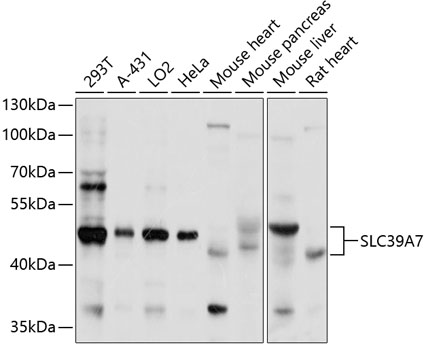
    Western blot - SLC39A7 Polyclonal Antibody

    Western blot analysis of extracts of various cell lines, using SLC39A7 antibody at 1:1000 dilution.Secondary antibody: HRP Goat Anti-Rabbit IgG (H+L) at 1:10000 dilution.Lysates/proteins: 25ug per lane.Blocking buffer: 3% nonfat dry milk in TBST.Detection: ECL Basic Kit .Exposure time: 20s.

    Immunohistochemistry - SLC39A7 Polyclonal Antibody

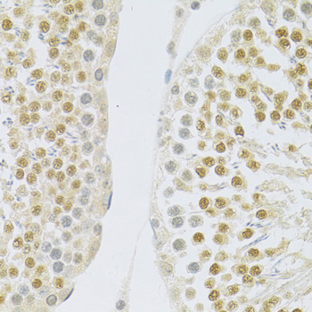
    Immunohistochemistry - SLC39A7 Polyclonal Antibody

    Immunohistochemistry of paraffin-embedded rat testis using SLC39A7 antibody at dilution of 1:100 (40x lens).

    Immunohistochemistry - SLC39A7 Polyclonal Antibody

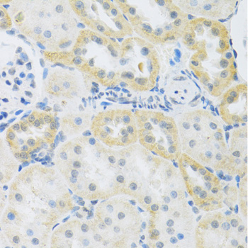
    Immunohistochemistry - SLC39A7 Polyclonal Antibody

    Immunohistochemistry of paraffin-embedded rat kidney using SLC39A7 antibody at dilution of 1:100 (40x lens).

    Immunohistochemistry - SLC39A7 Polyclonal Antibody

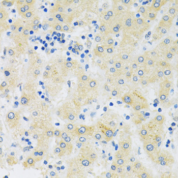
    Immunohistochemistry - SLC39A7 Polyclonal Antibody

    Immunohistochemistry of paraffin-embedded human liver using SLC39A7 antibody at dilution of 1:100 (40x lens).

  • Background
    Zinc transporter, that transports Zn(2+) from the endoplasmic reticulum/Golgi apparatus to the cytosol. Transport is stimulated by growth factors, such as EGF, and Ca(2+), as well as by exogenous Zn(2+).

Please note: All products are "FOR RESEARCH USE ONLY AND ARE NOT INTENDED FOR DIAGNOSTIC OR THERAPEUTIC USE"