SLC25A13 Polyclonal Antibody

Cat.#: 164667

Special Price 226.5 USD

Availability: In Stock
- +

Add to cart to get an online quotation

Product Information

  • Product Name
    SLC25A13 Polyclonal Antibody
  • Documents
  • Description
    Polyclonal antibody to SLC25A13
  • Tested applications
    WB, IHC
  • Species reactivity
    Human, Mouse
  • Alternative names
    SLC25A13 antibody; ARALAR2 antibody; CITRIN antibody; CTLN2 antibody; solute carrier family 25 member 13 antibody
  • Isotype
    Rabbit IgG
  • Preparation
    Antigen: Recombinant fusion protein containing a sequence corresponding to amino acids 1-300 of human SLC25A13 (NP_001153682.1).
  • Clonality
    Polyclonal
  • Formulation
    PBS with 0.02% sodium azide, 50% glycerol, pH7.3.
  • Storage instructions
    Store at -20℃. Avoid freeze / thaw cycles.
  • Applications
    WB 1:500 - 1:2000
    IHC 1:50 - 1:200
  • Validations

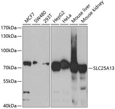
    Western blot - SLC25A13 Polyclonal Antibody

    Western blot - SLC25A13 Polyclonal Antibody

    Western blot analysis of extracts of various cell lines, using SLC25A13 antibody at 1:1000 dilution._Secondary antibody: HRP Goat Anti-Rabbit IgG (H+L) at 1:10000 dilution._Lysates/proteins: 25ug per lane._Blocking buffer: 3% nonfat dry milk in TBST._Detection: ECL Basic Kit ._Exposure time: 90s.

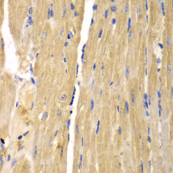
    Immunohistochemistry - SLC25A13 Polyclonal Antibody

    Immunohistochemistry - SLC25A13 Polyclonal Antibody

    Immunohistochemistry of paraffin-embedded mouse heart using SLC25A13 antibody at dilution of 1:200 (40x lens).

  • Background
    Mitochondrial and calcium-binding carrier that catalyzes the calcium-dependent exchange of cytoplasmic glutamate with mitochondrial aspartate across the mitochondrial inner membrane. May have a function in the urea cycle.

Please note: All products are "FOR RESEARCH USE ONLY AND ARE NOT INTENDED FOR DIAGNOSTIC OR THERAPEUTIC USE"