SLC22A11 Polyclonal Antibody

Cat.#: 165552

Special Price 226.5 USD

Availability: In Stock
- +

Add to cart to get an online quotation

Product Information

  • Product Name
    SLC22A11 Polyclonal Antibody
  • Documents
  • Description
    Polyclonal antibody to SLC22A11
  • Tested applications
    WB, IF
  • Species reactivity
    Human, Mouse, Rat
  • Alternative names
    SLC22A11 antibody; OAT4 antibody; hOAT4 antibody; solute carrier family 22 member 11 antibody
  • Isotype
    Rabbit IgG
  • Preparation
    Antigen: Recombinant fusion protein containing a sequence corresponding to amino acids 40-150 of human SLC22A11 (NP_060954.1).
  • Clonality
    Polyclonal
  • Formulation
    PBS with 0.02% sodium azide, 50% glycerol, pH7.3.
  • Storage instructions
    Store at -20℃. Avoid freeze / thaw cycles.
  • Applications
    WB 1:500 - 1:2000
    IF 1:50 - 1:100
  • Validations

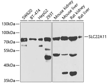
    Western blot - SLC22A11 Polyclonal Antibody

    Western blot - SLC22A11 Polyclonal Antibody

    Western blot analysis of extracts of various cell lines, using SLC22A11 antibody at 1:1000 dilution._Secondary antibody: HRP Goat Anti-Rabbit IgG (H+L) at 1:10000 dilution._Lysates/proteins: 25ug per lane._Blocking buffer: 3% nonfat dry milk in TBST._Detection: ECL Basic Kit ._Exposure time: 30s.

    Immunofluorescence - SLC22A11 Polyclonal Antibody

    Immunofluorescence - SLC22A11 Polyclonal Antibody

    Immunofluorescence analysis of A549 cells using SLC22A11 antibody . Blue: DAPI for nuclear staining.

  • Background
    Mediates saturable uptake of estrone sulfate, dehydroepiandrosterone sulfate and related compounds.

Please note: All products are "FOR RESEARCH USE ONLY AND ARE NOT INTENDED FOR DIAGNOSTIC OR THERAPEUTIC USE"