SLC16A4 Polyclonal Antibody

Cat.#: 162278

Special Price 226.5 USD

Availability: In Stock
- +

Add to cart to get an online quotation

Product Information

  • Product Name
    SLC16A4 Polyclonal Antibody
  • Documents
  • Description
    Polyclonal antibody to SLC16A4
  • Tested applications
    WB, IHC, IF
  • Species reactivity
    Human, Rat
  • Alternative names
    SLC16A4 antibody; MCT4 antibody; MCT5 antibody; monocarboxylate transporter 5 antibody
  • Isotype
    Rabbit IgG
  • Preparation
    Antigen: A synthetic peptide corresponding to a sequence within amino acids 250-350 of human SLC16A4 (NP_004687.1).
  • Clonality
    Polyclonal
  • Formulation
    PBS with 0.02% sodium azide, 50% glycerol, pH7.3.
  • Storage instructions
    Store at -20℃. Avoid freeze / thaw cycles.
  • Applications
    WB 1:500 - 1:2000
    IHC 1:50 - 1:200
    IF 1:50 - 1:200
  • Validations

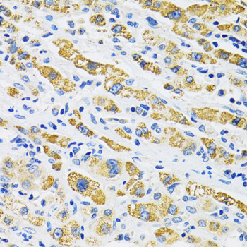
    Immunohistochemistry - SLC16A4 Polyclonal Antibody

    Immunohistochemistry - SLC16A4 Polyclonal Antibody

    Immunohistochemistry of paraffin-embedded human liver using SLC16A4 antibody at dilution of 1:100 (40x lens).

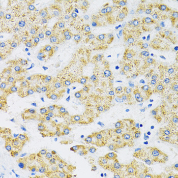
    Immunohistochemistry - SLC16A4 Polyclonal Antibody

    Immunohistochemistry - SLC16A4 Polyclonal Antibody

    Immunohistochemistry of paraffin-embedded human liver cancer using SLC16A4 antibody at dilution of 1:100 (40x lens).

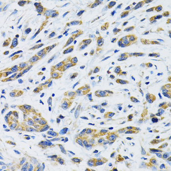
    Immunohistochemistry - SLC16A4 Polyclonal Antibody

    Immunohistochemistry - SLC16A4 Polyclonal Antibody

    Immunohistochemistry of paraffin-embedded human gastric cancer using SLC16A4 antibody at dilution of 1:100 (40x lens).

    Immunofluorescence - SLC16A4 Polyclonal Antibody

    Immunofluorescence - SLC16A4 Polyclonal Antibody

    Immunofluorescence analysis of HeLa cells using SLC16A4 antibody at dilution of 1:100. Blue: DAPI for nuclear staining.

  • Background
    Proton-linked monocarboxylate transporter. Catalyzes the rapid transport across the plasma membrane of many monocarboxylates such as lactate, pyruvate, branched-chain oxo acids derived from leucine, valine and isoleucine, and the ketone bodies acetoacetate, beta-hydroxybutyrate and acetate (By similarity).

Please note: All products are "FOR RESEARCH USE ONLY AND ARE NOT INTENDED FOR DIAGNOSTIC OR THERAPEUTIC USE"