SLC16A2 Polyclonal Antibody

Cat.#: 164167

Special Price 226.5 USD

Availability: In Stock
- +

Add to cart to get an online quotation

Product Information

  • Product Name
    SLC16A2 Polyclonal Antibody
  • Documents
  • Description
    Polyclonal antibody to SLC16A2
  • Tested applications
    WB
  • Species reactivity
    Human, Mouse, Rat
  • Alternative names
    SLC16A2 antibody; AHDS antibody; DXS128 antibody; DXS128E antibody; MCT 7 antibody; MCT 8 antibody; MCT7 antibody; MCT8 antibody; MRX22 antibody; XPCT antibody; monocarboxylate transporter 8 antibody
  • Isotype
    Rabbit IgG
  • Preparation
    Antigen: Recombinant fusion protein containing a sequence corresponding to amino acids 1-100 of human SLC16A2 (NP_006508.2).
  • Clonality
    Polyclonal
  • Formulation
    PBS with 0.02% sodium azide, 50% glycerol, pH7.3.
  • Storage instructions
    Store at -20℃. Avoid freeze / thaw cycles.
  • Applications
    WB 1:500 - 1:2000
  • Validations

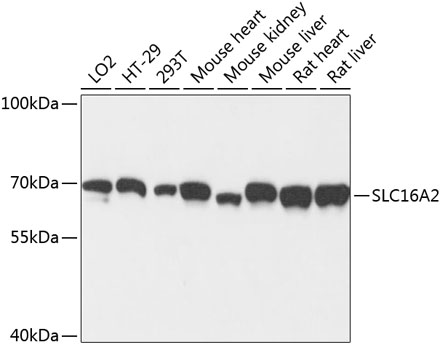
    Western blot - SLC16A2 Polyclonal Antibody

    Western blot - SLC16A2 Polyclonal Antibody

    Western blot analysis of extracts of various cell lines, using SLC16A2 antibody at 1:3000 dilution.Secondary antibody: HRP Goat Anti-Rabbit IgG (H+L) at 1:10000 dilution.Lysates/proteins: 25ug per lane.Blocking buffer: 3% nonfat dry milk in TBST.Detection: ECL Basic Kit .Exposure time: 30s.

  • Background
    Very active and specific thyroid hormone transporter. Stimulates cellular uptake of thyroxine (T4), triiodothyronine (T3), reverse triiodothyronine (rT3) and diidothyronine. Does not transport Leu, Phe, Trp or Tyr.

Please note: All products are "FOR RESEARCH USE ONLY AND ARE NOT INTENDED FOR DIAGNOSTIC OR THERAPEUTIC USE"