SCYL1 Polyclonal Antibody

Cat.#: 165009

Special Price 226.5 USD

Availability: In Stock
- +

Add to cart to get an online quotation

Product Information

  • Product Name
    SCYL1 Polyclonal Antibody
  • Documents
  • Description
    Polyclonal antibody to SCYL1
  • Tested applications
    WB, IHC, IF
  • Species reactivity
    Human, Mouse, Rat
  • Alternative names
    SCYL1 antibody; GKLP antibody; HT019 antibody; NKTL antibody; NTKL antibody; P105 antibody; SCAR21 antibody; TAPK antibody; TEIF antibody; TRAP antibody; SCY1 like pseudokinase 1 antibody
  • Isotype
    Rabbit IgG
  • Preparation
    Antigen: Recombinant fusion protein containing a sequence corresponding to amino acids 460-740 of human SCYL1 (NP_065731.3).
  • Clonality
    Polyclonal
  • Formulation
    PBS with 0.02% sodium azide, 50% glycerol, pH7.3.
  • Storage instructions
    Store at -20℃. Avoid freeze / thaw cycles.
  • Applications
    WB 1:500 - 1:2000
    IHC 1:50 - 1:200
    IF 1:50 - 1:100
  • Validations

    Western blot - SCYL1 Polyclonal Antibody

    Western blot - SCYL1 Polyclonal Antibody

    Western blot analysis of extracts of various cell lines, using SCYL1 Antibody at 1:1000 dilution.Secondary antibody: HRP Goat Anti-Rabbit IgG (H+L) at 1:10000 dilution.Lysates/proteins: 25ug per lane.Blocking buffer: 3% nonfat dry milk in TBST.Detection: ECL Basic Kit .Exposure time: 5s.

    Immunohistochemistry - SCYL1 Polyclonal Antibody

    Immunohistochemistry - SCYL1 Polyclonal Antibody

    Immunohistochemistry of paraffin-embedded human liver injury using SCYL1 antibody at dilution of 1:100 (40x lens).

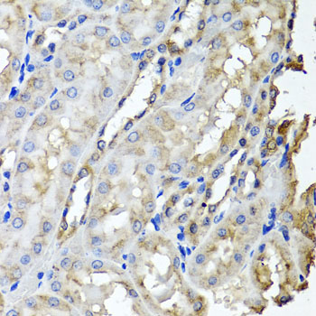
    Immunohistochemistry - SCYL1 Polyclonal Antibody

    Immunohistochemistry - SCYL1 Polyclonal Antibody

    Immunohistochemistry of paraffin-embedded rat kidney using SCYL1 antibody at dilution of 1:100 (40x lens).

    Immunofluorescence - SCYL1 Polyclonal Antibody

    Immunofluorescence - SCYL1 Polyclonal Antibody

    Immunofluorescence analysis of MCF-7 cells using SCYL1 antibody . Blue: DAPI for nuclear staining.

  • Background
    Regulates COPI-mediated retrograde protein traffic at the interface between the Golgi apparatus and the endoplasmic reticulum. Involved in the maintenance of the Golgi apparatus morphology. Has no detectable kinase activity in vitro.; Isoform 6 acts as transcriptional activator. It binds to three different types of GC-rich DNA binding sites (box-A, -B and -C) in the beta-polymerase promoter region. It also binds to the TERT promoter region.

Please note: All products are "FOR RESEARCH USE ONLY AND ARE NOT INTENDED FOR DIAGNOSTIC OR THERAPEUTIC USE"