SARS Polyclonal Antibody

Cat.#: 161585

Special Price 226.5 USD

Availability: In Stock
- +

Add to cart to get an online quotation

Product Information

  • Product Name
    SARS Polyclonal Antibody
  • Documents
  • Description
    Polyclonal antibody to SARS
  • Tested applications
    WB, IHC, IF
  • Species reactivity
    Human, Mouse, Rat
  • Alternative names
    SARS antibody; SERRS antibody; SERS antibody; seryl-tRNA synthetase antibody
  • Isotype
    Rabbit IgG
  • Preparation
    Antigen: Recombinant fusion protein containing a sequence corresponding to amino acids 1-300 of human SARS (NP_006504.2).
  • Clonality
    Polyclonal
  • Formulation
    PBS with 0.02% sodium azide, 50% glycerol, pH7.3.
  • Storage instructions
    Store at -20℃. Avoid freeze / thaw cycles.
  • Applications
    WB 1:500 - 1:2000
    IHC 1:50 - 1:200
    IF 1:50 - 1:200
  • Validations

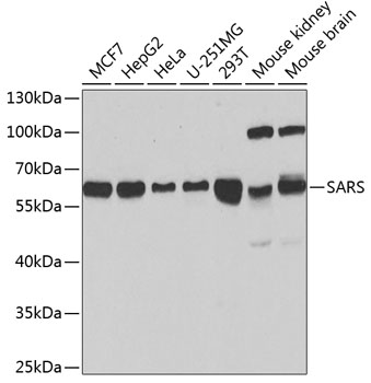
    Western blot - SARS Polyclonal Antibody

    Western blot - SARS Polyclonal Antibody

    Western blot analysis of extracts of various cell lines, using SARS antibody at 1:1000 dilution.Secondary antibody: HRP Goat Anti-Rabbit IgG (H+L) at 1:10000 dilution.Lysates/proteins: 25ug per lane.Blocking buffer: 3% nonfat dry milk in TBST.Detection: ECL Basic Kit .Exposure time: 90s.

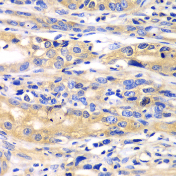
    Immunohistochemistry - SARS Polyclonal Antibody

    Immunohistochemistry - SARS Polyclonal Antibody

    Immunohistochemistry of paraffin-embedded human gastric cancer using SARS antibody at dilution of 1:100 (40x lens).

    Immunofluorescence - SARS Polyclonal Antibody

    Immunofluorescence - SARS Polyclonal Antibody

    Immunofluorescence analysis of MCF-7 cells using SARS antibody . Blue: DAPI for nuclear staining.

  • Background
    Catalyzes the attachment of serine to tRNA(Ser) in a two-step reaction: serine is first activated by ATP to form Ser-AMP and then transferred to the acceptor end of tRNA(Ser). Is probably also able to aminoacylate tRNA(Sec) with serine, to form the misacylated tRNA L-seryl-tRNA(Sec), which will be further converted into selenocysteinyl-tRNA(Sec). In the nucleus, binds to the VEGFA core promoter and prevents MYC binding and transcriptional activation by MYC. Recruits SIRT2 to the VEGFA promoter, promoting deacetylation of histone H4 at 'Lys-16' (H4K16). Thereby, inhibits the production of VEGFA and sprouting angiogenesis mediated by VEGFA.

Please note: All products are "FOR RESEARCH USE ONLY AND ARE NOT INTENDED FOR DIAGNOSTIC OR THERAPEUTIC USE"