SAP18 Polyclonal Antibody

Cat.#: 164322

Special Price 226.5 USD

Availability: In Stock
- +

Add to cart to get an online quotation

Product Information

  • Product Name
    SAP18 Polyclonal Antibody
  • Documents
  • Description
    Polyclonal antibody to SAP18
  • Tested applications
    WB, IHC, IF
  • Species reactivity
    Human, Mouse, Rat
  • Alternative names
    SAP18 antibody; 2HOR0202 antibody; SAP18P antibody; Sin3A associated protein 18 antibody
  • Isotype
    Rabbit IgG
  • Preparation
    Antigen: Recombinant fusion protein containing a sequence corresponding to amino acids 21-172 of human SAP18 (NP_005861.2).
  • Clonality
    Polyclonal
  • Formulation
    PBS with 0.02% sodium azide, 50% glycerol, pH7.3.
  • Storage instructions
    Store at -20℃. Avoid freeze / thaw cycles.
  • Applications
    WB 1:200 - 1:2000
    IHC 1:50 - 1:200
    IF 1:50 - 1:200
  • Validations

    Western blot - SAP18 Polyclonal Antibody

    Western blot - SAP18 Polyclonal Antibody

    Western blot analysis of extracts of SW480 cells, using SAP18 antibody at 1:1000 dilution._Secondary antibody: HRP Goat Anti-Rabbit IgG (H+L) at 1:10000 dilution._Lysates/proteins: 25ug per lane._Blocking buffer: 3% nonfat dry milk in TBST._Detection: ECL Enhanced Kit ._Exposure time: 90s.

    Immunohistochemistry - SAP18 Polyclonal Antibody

    Immunohistochemistry - SAP18 Polyclonal Antibody

    Immunohistochemistry of paraffin-embedded rat brain using SAP18 antibody at dilution of 1:100 (40x lens).

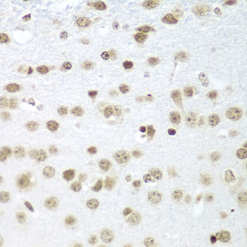
    Immunohistochemistry - SAP18 Polyclonal Antibody

    Immunohistochemistry - SAP18 Polyclonal Antibody

    Immunohistochemistry of paraffin-embedded mouse brain using SAP18 antibody at dilution of 1:100 (40x lens).

  • Background
    Component of the SIN3-repressing complex. Enhances the ability of SIN3-HDAC1-mediated transcriptional repression. When tethered to the promoter, it can direct the formation of a repressive complex to core histone proteins. Auxiliary component of the splicing-dependent multiprotein exon junction complex (EJC) deposited at splice junction on mRNAs. The EJC is a dynamic structure consisting of core proteins and several peripheral nuclear and cytoplasmic associated factors that join the complex only transiently either during EJC assembly or during subsequent mRNA metabolism. Component of the ASAP and PSAP complexes which bind RNA in a sequence-independent manner and are proposed to be recruited to the EJC prior to or during the splicing process and to regulate specific excision of introns in specific transcription subsets. The ASAP complex can inhibit mRNA processing during in vitro splicing reactions. The ASAP complex promotes apoptosis and is disassembled after induction of apoptosis. Involved in the splicing modulation of BCL2L1/Bcl-X (and probably other apoptotic genes); specifically inhibits the formation of proapoptotic isoforms such as Bcl-X(S); the activity is different from the established EJC assembly and function.

Please note: All products are "FOR RESEARCH USE ONLY AND ARE NOT INTENDED FOR DIAGNOSTIC OR THERAPEUTIC USE"