RPS6KL1 Polyclonal Antibody

Cat.#: 165395

Special Price 226.5 USD

Availability: In Stock
- +

Add to cart to get an online quotation

Product Information

  • Product Name
    RPS6KL1 Polyclonal Antibody
  • Documents
  • Description
    Polyclonal antibody to RPS6KL1
  • Tested applications
    WB, IHC, IF
  • Species reactivity
    Human, Mouse
  • Alternative names
    RPS6KL1 antibody; RSKL2 antibody; ribosomal protein S6 kinase-like 1 antibody
  • Isotype
    Rabbit IgG
  • Preparation
    Antigen: Recombinant fusion protein containing a sequence corresponding to amino acids 1-130 of human RPS6KL1 (NP_113652.2).
  • Clonality
    Polyclonal
  • Formulation
    PBS with 0.02% sodium azide, 50% glycerol, pH7.3.
  • Storage instructions
    Store at -20℃. Avoid freeze / thaw cycles.
  • Applications
    WB 1:500 - 1:2000
    IHC 1:50 - 1:200
    IF 1:50 - 1:200
  • Validations

    Western blot - RPS6KL1 Polyclonal Antibody

    Western blot - RPS6KL1 Polyclonal Antibody

    Western blot analysis of extracts of various cell lines, using RPS6KL1 antibody at 1:1000 dilution.Secondary antibody: HRP Goat Anti-Rabbit IgG (H+L) at 1:10000 dilution.Lysates/proteins: 25ug per lane.Blocking buffer: 3% nonfat dry milk in TBST.Detection: ECL Basic Kit .Exposure time: 60s.

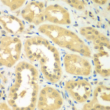
    Immunohistochemistry - RPS6KL1 Polyclonal Antibody

    Immunohistochemistry - RPS6KL1 Polyclonal Antibody

    Immunohistochemistry of paraffin-embedded human kidney using RPS6KL1 antibody at dilution of 1:100 (40x lens).

    Immunofluorescence - RPS6KL1 Polyclonal Antibody

    Immunofluorescence - RPS6KL1 Polyclonal Antibody

    Immunofluorescence analysis of A549 cells using RPS6KL1 antibody . Blue: DAPI for nuclear staining.

Please note: All products are "FOR RESEARCH USE ONLY AND ARE NOT INTENDED FOR DIAGNOSTIC OR THERAPEUTIC USE"