RPL6 Polyclonal Antibody

Cat.#: 164678

Special Price 377.4 USD

Availability: In Stock
- +

Add to cart to get an online quotation

Product Information

  • Product Name
    RPL6 Polyclonal Antibody
  • Documents
  • Description
    Polyclonal antibody to RPL6
  • Tested applications
    WB, IHC, IF, FC
  • Species reactivity
    Human
  • Alternative names
    RPL6 antibody; L6 antibody; SHUJUN-2 antibody; TAXREB107 antibody; TXREB1 antibody; ribosomal protein L6 antibody
  • Isotype
    Rabbit IgG
  • Preparation
    Antigen: A synthetic peptide of human RPL6
  • Clonality
    Polyclonal
  • Formulation
    PBS with 0.02% sodium azide, pH7.3.
  • Storage instructions
    Store at 4℃. Avoid freeze / thaw cycles.
  • Applications
    WB 1:500 - 1:2000
    IHC 1:50 - 1:200
    IF 1:20 - 1:50
    FC 1:20 - 1:50
  • Validations

    Western blot - RPL6 Polyclonal Antibody

    Western blot - RPL6 Polyclonal Antibody

    Western blot analysis of extracts of various cell lines, using RPL6 antibody at 1:1000 dilution.Secondary antibody: HRP Goat Anti-Rabbit IgG (H+L) at 1:10000 dilution.Lysates/proteins: 25ug per lane.Blocking buffer: 3% nonfat dry milk in TBST.Detection: ECL Basic Kit .Exposure time: 1s.

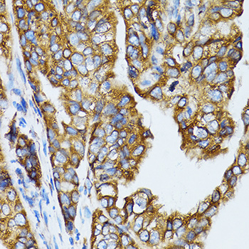
    Immunohistochemistry - RPL6 Polyclonal Antibody

    Immunohistochemistry - RPL6 Polyclonal Antibody

    Immunohistochemistry of paraffin-embedded human gastric cancer using RPL6 antibody (40x lens).

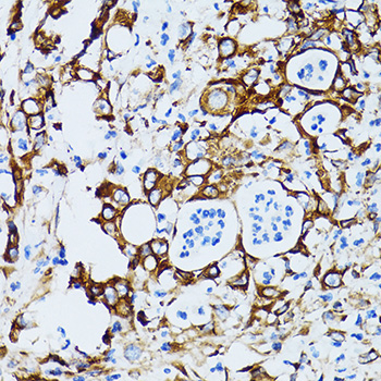
    Immunohistochemistry - RPL6 Polyclonal Antibody

    Immunohistochemistry - RPL6 Polyclonal Antibody

    Immunohistochemistry of paraffin-embedded human uterine cancer using RPL6 antibody (40x lens).

  • Background
    Component of the large ribosomal subunit.; (Microbial infection) Specifically binds to domain C of the Tax-responsive enhancer element in the long terminal repeat of HTLV-I.

Please note: All products are "FOR RESEARCH USE ONLY AND ARE NOT INTENDED FOR DIAGNOSTIC OR THERAPEUTIC USE"