RPL13 Polyclonal Antibody

Cat.#: 165001

Special Price 226.5 USD

Availability: In Stock
- +

Add to cart to get an online quotation

Product Information

  • Product Name
    RPL13 Polyclonal Antibody
  • Documents
  • Description
    Polyclonal antibody to RPL13
  • Tested applications
    WB, IHC, IF
  • Species reactivity
    Human, Mouse, Rat
  • Alternative names
    RPL13 antibody; BBC1 antibody; D16S444E antibody; D16S44E antibody; L13 antibody; ribosomal protein L13 antibody
  • Isotype
    Rabbit IgG
  • Preparation
    Antigen: Recombinant fusion protein containing a sequence corresponding to amino acids 1-211 of human RPL13 (NP_150254.1).
  • Clonality
    Polyclonal
  • Formulation
    PBS with 0.02% sodium azide, 50% glycerol, pH7.3.
  • Storage instructions
    Store at -20℃. Avoid freeze / thaw cycles.
  • Applications
    WB 1:500 - 1:2000
    IHC 1:50 - 1:200
    IF 1:50 - 1:200
  • Validations

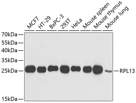
    Western blot - RPL13 Polyclonal Antibody

    Western blot - RPL13 Polyclonal Antibody

    Western blot analysis of extracts of various cell lines, using RPL13 antibody at 1:1000 dilution.Secondary antibody: HRP Goat Anti-Rabbit IgG (H+L) at 1:10000 dilution.Lysates/proteins: 25ug per lane.Blocking buffer: 3% nonfat dry milk in TBST.Detection: ECL Basic Kit .Exposure time: 1s.

    Western blot - RPL13 Polyclonal Antibody

    Western blot - RPL13 Polyclonal Antibody

    Western blot analysis of extracts of various cells, using RPL13 antibody at 1:1000 dilution ratio through one-step method.Secondary antibody: HRP Goat Anti-Rabbit IgG (H+L) at 1:4000 dilution.Lysates/proteins: 25ug per lane.Blocking buffer: 3% nonfat dry milk in TBST.Detection: ECL Basic Kit .Exposure time: 90s.

    Immunohistochemistry - RPL13 Polyclonal Antibody

    Immunohistochemistry - RPL13 Polyclonal Antibody

    Immunohistochemistry of paraffin-embedded human breast using RPL13 Antibody at dilution of 1:100 (40x lens).

    Immunohistochemistry - RPL13 Polyclonal Antibody

    Immunohistochemistry - RPL13 Polyclonal Antibody

    Immunohistochemistry of paraffin-embedded rat spinal cord using RPL13 Antibody at dilution of 1:100 (40x lens).

    Immunohistochemistry - RPL13 Polyclonal Antibody

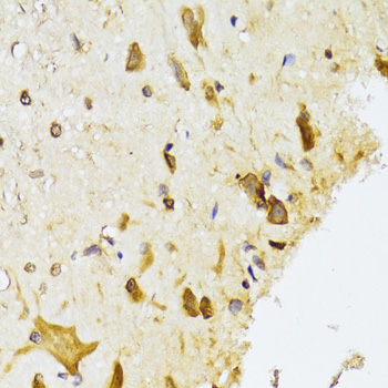
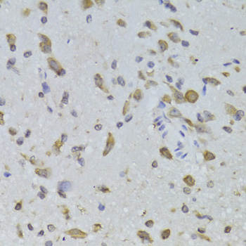
    Immunohistochemistry - RPL13 Polyclonal Antibody

    Immunohistochemistry of paraffin-embedded rat brain using RPL13 Antibody at dilution of 1:100 (40x lens).

    Immunohistochemistry - RPL13 Polyclonal Antibody

    Immunohistochemistry - RPL13 Polyclonal Antibody

    Immunohistochemistry of paraffin-embedded human stomach using RPL13 Antibody at dilution of 1:100 (40x lens).

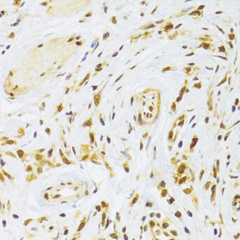
    Immunohistochemistry - RPL13 Polyclonal Antibody

    Immunohistochemistry - RPL13 Polyclonal Antibody

    Immunohistochemistry of paraffin-embedded human gastric cancer using RPL13 Antibody at dilution of 1:100 (40x lens).

Please note: All products are "FOR RESEARCH USE ONLY AND ARE NOT INTENDED FOR DIAGNOSTIC OR THERAPEUTIC USE"