RNF5 Polyclonal Antibody

Cat.#: 165811

Special Price 226.5 USD

Availability: In Stock
- +

Add to cart to get an online quotation

Product Information

  • Product Name
    RNF5 Polyclonal Antibody
  • Documents
  • Description
    Polyclonal antibody to RNF5
  • Tested applications
    WB, IF
  • Species reactivity
    Human, Mouse, Rat
  • Alternative names
    RNF5 antibody; RING5 antibody; RMA1 antibody; ring finger protein 5 antibody
  • Isotype
    Rabbit IgG
  • Preparation
    Antigen: Recombinant fusion protein containing a sequence corresponding to amino acids 1-120 of human RNF5 (NP_008844.1).
  • Clonality
    Polyclonal
  • Formulation
    PBS with 0.02% sodium azide, 50% glycerol, pH7.3.
  • Storage instructions
    Store at -20℃. Avoid freeze / thaw cycles.
  • Applications
    WB 1:500 - 1:2000
    IF 1:50 - 1:100
  • Validations

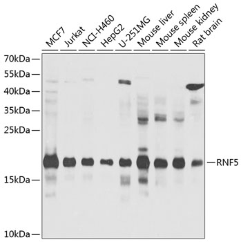
    Western blot - RNF5 Polyclonal Antibody

    Western blot - RNF5 Polyclonal Antibody

    Western blot analysis of extracts of various cell lines, using RNF5 antibody at 1:1000 dilution.Secondary antibody: HRP Goat Anti-Rabbit IgG (H+L) at 1:10000 dilution.Lysates/proteins: 25ug per lane.Blocking buffer: 3% nonfat dry milk in TBST.Detection: ECL Basic Kit .Exposure time: 30s.

  • Background
    Has E2-dependent E3 ubiquitin-protein ligase activity. May function together with E2 ubiquitin-conjugating enzymes UBE2D1/UBCH5A and UBE2D2/UBC4. Mediates ubiquitination of PXN/paxillin and Salmonella type III secreted protein sopA. May be involved in regulation of cell motility and localization of PXN/paxillin. Mediates the 'Lys-63'-linked polyubiquitination of JKAMP thereby regulating JKAMP function by decreasing its association with components of the proteasome and ERAD; the ubiquitination appears to involve E2 ubiquitin-conjugating enzyme UBE2N. Mediates the 'Lys-48'-linked polyubiquitination of TMEM173 at 'Lys-150' leading to its proteasomal degradation; the ubiquitination occurs in mitochondria after viral transfection and regulates antiviral responses.

Please note: All products are "FOR RESEARCH USE ONLY AND ARE NOT INTENDED FOR DIAGNOSTIC OR THERAPEUTIC USE"