RNF166 Polyclonal Antibody

Cat.#: 165774

Special Price 226.5 USD

Availability: In Stock
- +

Add to cart to get an online quotation

Product Information

  • Product Name
    RNF166 Polyclonal Antibody
  • Documents
  • Description
    Polyclonal antibody to RNF166
  • Tested applications
    WB, IHC
  • Species reactivity
    Human, Mouse, Rat
  • Alternative names
    RNF166 antibody; RING finger protein 166 antibody
  • Isotype
    Rabbit IgG
  • Preparation
    Antigen: A synthetic peptide corresponding to a sequence within amino acids 100 to the C-terminus of human RNF166 (NP_849163.1).
  • Clonality
    Polyclonal
  • Formulation
    PBS with 0.02% sodium azide, 50% glycerol, pH7.3.
  • Storage instructions
    Store at -20℃. Avoid freeze / thaw cycles.
  • Applications
    WB 1:500 - 1:2000
    IHC 1:50 - 1:200
  • Validations

    Western blot - RNF166 Polyclonal Antibody

    Western blot - RNF166 Polyclonal Antibody

    Western blot analysis of extracts of various cell lines, using RNF166 antibody at 1:1000 dilution._Secondary antibody: HRP Goat Anti-Rabbit IgG (H+L) at 1:10000 dilution._Lysates/proteins: 25ug per lane._Blocking buffer: 3% nonfat dry milk in TBST._Detection: ECL Enhanced Kit ._Exposure time: 15s.

    Immunohistochemistry - RNF166 Polyclonal Antibody

    Immunohistochemistry - RNF166 Polyclonal Antibody

    Immunohistochemistry of paraffin-embedded mouse brain using RNF166 antibody (40x lens).

    Immunohistochemistry - RNF166 Polyclonal Antibody

    Immunohistochemistry - RNF166 Polyclonal Antibody

    Immunohistochemistry of paraffin-embedded rat brain using RNF166 antibody (40x lens).

    Immunohistochemistry - RNF166 Polyclonal Antibody

    Immunohistochemistry - RNF166 Polyclonal Antibody

    Immunohistochemistry of paraffin-embedded rat kidney using RNF166 antibody (40x lens).

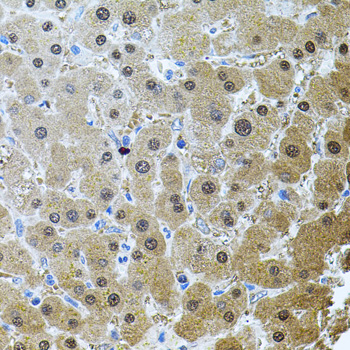
    Immunohistochemistry - RNF166 Polyclonal Antibody

    Immunohistochemistry - RNF166 Polyclonal Antibody

    Immunohistochemistry of paraffin-embedded human liver injury using RNF166 antibody (40x lens).

Please note: All products are "FOR RESEARCH USE ONLY AND ARE NOT INTENDED FOR DIAGNOSTIC OR THERAPEUTIC USE"