RNASE3 Polyclonal Antibody

Cat.#: 163601

Special Price 226.5 USD

Availability: In Stock
- +

Add to cart to get an online quotation

Product Information

  • Product Name
    RNASE3 Polyclonal Antibody
  • Documents
  • Description
    Polyclonal antibody to RNASE3
  • Tested applications
    IHC
  • Species reactivity
    Human
  • Alternative names
    RNASE3 antibody; ECP antibody; RAF1 antibody; RNS3 antibody; eosinophil cationic protein antibody
  • Isotype
    Rabbit IgG
  • Preparation
    Antigen: Recombinant fusion protein containing a sequence corresponding to amino acids 28-160 of human RNASE3 (NP_002926.2).
  • Clonality
    Polyclonal
  • Formulation
    PBS with 0.02% sodium azide, 50% glycerol, pH7.3.
  • Storage instructions
    Store at -20℃. Avoid freeze / thaw cycles.
  • Applications
    IHC 1:50 - 1:100
  • Validations

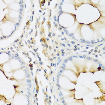
    Immunohistochemistry - RNASE3 Polyclonal Antibody

    Immunohistochemistry - RNASE3 Polyclonal Antibody

    Immunohistochemistry of paraffin-embedded human colon using RNASE3 antibody at dilution of 1:100 (40x lens).

    Immunohistochemistry - RNASE3 Polyclonal Antibody

    Immunohistochemistry - RNASE3 Polyclonal Antibody

    Immunohistochemistry of paraffin-embedded human stomach using RNASE3 antibody at dilution of 1:100 (40x lens).

  • Background
    Cytotoxin and helminthotoxin with low-efficiency ribonuclease activity. Possesses a wide variety of biological activities. Exhibits antibacterial activity, including cytoplasmic membrane depolarization of preferentially Gram-negative, but also Gram-positive strains. Promotes E.coli outer membrane detachment, alteration of the overall cell shape and partial loss of cell content.

Please note: All products are "FOR RESEARCH USE ONLY AND ARE NOT INTENDED FOR DIAGNOSTIC OR THERAPEUTIC USE"