RNASE13 Polyclonal Antibody

Cat.#: 160595

Special Price 226.5 USD

Availability: In Stock
- +

Add to cart to get an online quotation

Product Information

  • Product Name
    RNASE13 Polyclonal Antibody
  • Documents
  • Description
    Polyclonal antibody to RNASE13
  • Tested applications
    WB, IHC, IF
  • Species reactivity
    Human, Mouse, Rat
  • Alternative names
    RNASE13 antibody; HEL-S-86p antibody; RAL1 antibody; ribonuclease A family member 13 (inactive) antibody
  • Isotype
    Rabbit IgG
  • Preparation
    Antigen: Recombinant fusion protein containing a sequence corresponding to amino acids 1-156 of human RNASE13 (NP_001012264.1).
  • Clonality
    Polyclonal
  • Formulation
    PBS with 0.02% sodium azide, 50% glycerol, pH7.3.
  • Storage instructions
    Store at -20℃. Avoid freeze / thaw cycles.
  • Applications
    WB 1:500 - 1:2000
    IHC 1:100 - 1:200
    IF 1:10 - 1:100
  • Validations

    Western blot - RNASE13 Polyclonal Antibody

    Western blot - RNASE13 Polyclonal Antibody

    Western blot analysis of extracts of Raji cells, using RNASE13 antibody at 1:1000 dilution.Secondary antibody: HRP Goat Anti-Rabbit IgG (H+L) at 1:10000 dilution.Lysates/proteins: 25ug per lane.Blocking buffer: 3% nonfat dry milk in TBST.

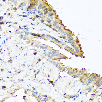
    Immunohistochemistry - RNASE13 Polyclonal Antibody

    Immunohistochemistry - RNASE13 Polyclonal Antibody

    Immunohistochemistry of paraffin-embedded human prostate using RNASE13 antibody at dilution of 1:100 (40x lens).

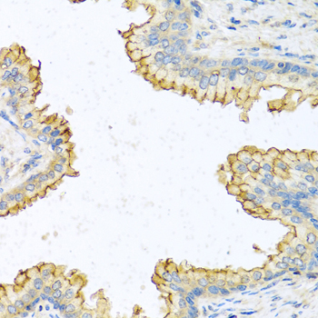
    Immunohistochemistry - RNASE13 Polyclonal Antibody

    Immunohistochemistry - RNASE13 Polyclonal Antibody

    Immunohistochemistry of paraffin-embedded human stomach using RNASE13 antibody at dilution of 1:100 (40x lens).

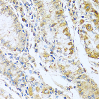
    Immunohistochemistry - RNASE13 Polyclonal Antibody

    Immunohistochemistry - RNASE13 Polyclonal Antibody

    Immunohistochemistry of paraffin-embedded mouse lung using RNASE13 antibody at dilution of 1:100 (40x lens).

    Immunofluorescence - RNASE13 Polyclonal Antibody

    Immunofluorescence - RNASE13 Polyclonal Antibody

    Immunofluorescence analysis of MCF-7 cells using RNASE13 antibody . Blue: DAPI for nuclear staining.

  • Background
    Does not exhibit any ribonuclease activity.

Please note: All products are "FOR RESEARCH USE ONLY AND ARE NOT INTENDED FOR DIAGNOSTIC OR THERAPEUTIC USE"