RIG-I / DDX58 Polyclonal Antibody

Cat.#: 160102

Special Price 226.5 USD

Availability: In Stock
- +

Add to cart to get an online quotation

Product Information

  • Product Name
    RIG-I / DDX58 Polyclonal Antibody
  • Documents
  • Description
    Polyclonal antibody to RIG-I / DDX58
  • Tested applications
    WB, IHC, IF, IP
  • Species reactivity
    Human
  • Alternative names
    DDX58 antibody; RIG-I antibody; RIGI antibody; RLR-1 antibody; SGMRT2 antibody; DExD/H-box helicase 58 antibody
  • Isotype
    Rabbit IgG
  • Preparation
    Antigen: A synthetic peptide corresponding to a sequence within amino acids 830 to the C-terminus of human RIG-I / DDX58 (NP_055129.2).
  • Clonality
    Polyclonal
  • Formulation
    PBS with 0.02% sodium azide, 50% glycerol, pH7.3.
  • Storage instructions
    Store at -20℃. Avoid freeze / thaw cycles.
  • Applications
    WB 1:500 - 1:2000
    IHC 1:50 - 1:200
    IF 1:20 - 1:100
    IP 1:20 - 1:100
  • Validations

    Western blot - RIG-I / DDX58 Polyclonal Antibody

    Western blot - RIG-I / DDX58 Polyclonal Antibody

    Western blot analysis of extracts of various cell lines, using RIG-I / DDX58 antibody at 1:500 dilution.Secondary antibody: HRP Goat Anti-Rabbit IgG (H+L) at 1:10000 dilution.Lysates/proteins: 25ug per lane.Blocking buffer: 3% nonfat dry milk in TBST.Detection: ECL Basic Kit .

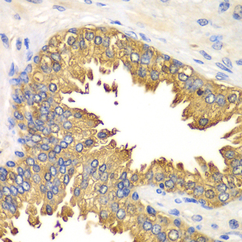
    Immunohistochemistry - RIG-I / DDX58 Polyclonal Antibody

    Immunohistochemistry - RIG-I / DDX58 Polyclonal Antibody

    Immunohistochemistry of paraffin-embedded human prostate using RIG-I / DDX58 antibody at dilution of 1:100 (40x lens).

    Immunofluorescence - RIG-I / DDX58 Polyclonal Antibody

    Immunofluorescence - RIG-I / DDX58 Polyclonal Antibody

    Immunofluorescence analysis of HeLa cells using RIG-I / DDX58 antibody . Blue: DAPI for nuclear staining.

  • Background
    Innate immune receptor which acts as a cytoplasmic sensor of viral nucleic acids and plays a major role in sensing viral infection and in the activation of a cascade of antiviral responses including the induction of type I interferons and proinflammatory cytokines. Its ligands include: 5'-triphosphorylated ssRNA and dsRNA and short dsRNA (<1 kb in length). In addition to the 5'-triphosphate moiety, blunt-end base pairing at the 5'-end of the RNA is very essential. Overhangs at the non-triphosphorylated end of the dsRNA RNA have no major impact on its activity. A 3'overhang at the 5'triphosphate end decreases and any 5'overhang at the 5' triphosphate end abolishes its activity. Upon ligand binding it associates with mitochondria antiviral signaling protein (MAVS/IPS1) which activates the IKK-related kinases: TBK1 and IKBKE which phosphorylate interferon regulatory factors: IRF3 and IRF7 which in turn activate transcription of antiviral immunological genes, including interferons (IFNs); IFN-alpha and IFN-beta. Detects both positive and negative strand RNA viruses including members of the families Paramyxoviridae: Human respiratory syncytial virus and measles virus (MeV), Rhabdoviridae: vesicular stomatitis virus (VSV), Orthomyxoviridae: influenza A and B virus, Flaviviridae: Japanese encephalitis virus (JEV), hepatitis C virus (HCV), dengue virus (DENV) and west Nile virus (WNV). It also detects rotavirus and reovirus. Also involved in antiviral signaling in response to viruses containing a dsDNA genome such as Epstein-Barr virus (EBV). Detects dsRNA produced from non-self dsDNA by RNA polymerase III, such as Epstein-Barr virus-encoded RNAs (EBERs). May play important roles in granulocyte production and differentiation, bacterial phagocytosis and in the regulation of cell migration.

Please note: All products are "FOR RESEARCH USE ONLY AND ARE NOT INTENDED FOR DIAGNOSTIC OR THERAPEUTIC USE"