RHOT1 Polyclonal Antibody

Cat.#: 164660

Special Price 226.5 USD

Availability: In Stock
- +

Add to cart to get an online quotation

Product Information

  • Product Name
    RHOT1 Polyclonal Antibody
  • Documents
  • Description
    Polyclonal antibody to RHOT1
  • Tested applications
    WB, IHC
  • Species reactivity
    Human, Mouse, Rat
  • Alternative names
    RHOT1 antibody; ARHT1 antibody; MIRO-1 antibody; MIRO1 antibody; mitochondrial Rho GTPase 1 antibody
  • Isotype
    Rabbit IgG
  • Preparation
    Antigen: Recombinant fusion protein containing a sequence corresponding to amino acids 310-590 of human RHOT1 (NP_060777.3).
  • Clonality
    Polyclonal
  • Formulation
    PBS with 0.02% sodium azide, 50% glycerol, pH7.3.
  • Storage instructions
    Store at -20℃. Avoid freeze / thaw cycles.
  • Applications
    WB 1:500 - 1:2000
    IHC 1:50 - 1:100
  • Validations

    Western blot - RHOT1 Polyclonal Antibody

    Western blot - RHOT1 Polyclonal Antibody

    Western blot analysis of extracts of various cell lines, using RHOT1 antibody at 1:1000 dilution.Secondary antibody: HRP Goat Anti-Rabbit IgG (H+L) at 1:10000 dilution.Lysates/proteins: 25ug per lane.Blocking buffer: 3% nonfat dry milk in TBST.Detection: ECL Basic Kit .Exposure time: 1s.

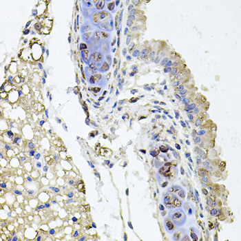
    Immunohistochemistry - RHOT1 Polyclonal Antibody

    Immunohistochemistry - RHOT1 Polyclonal Antibody

    Immunohistochemistry of paraffin-embedded mouse lung using RHOT1 antibody at dilution of 1:100 (40x lens).

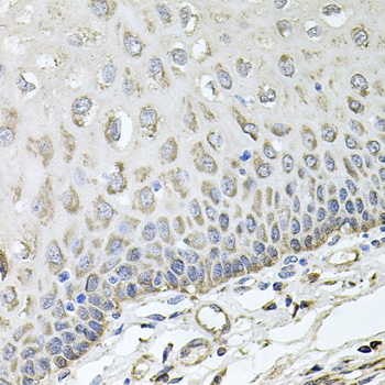
    Immunohistochemistry - RHOT1 Polyclonal Antibody

    Immunohistochemistry - RHOT1 Polyclonal Antibody

    Immunohistochemistry of paraffin-embedded human esophagus using RHOT1 antibody at dilution of 1:100 (40x lens).

  • Background
    Mitochondrial GTPase involved in mitochondrial trafficking. Probably involved in control of anterograde transport of mitochondria and their subcellular distribution.

Please note: All products are "FOR RESEARCH USE ONLY AND ARE NOT INTENDED FOR DIAGNOSTIC OR THERAPEUTIC USE"