RCAN2 antibody

Cat.#: 114571

Size:

Special Price 239.0 USD

Availability: In Stock
- +

Add to cart to get an online quotation

Product Information

  • Product Name
    RCAN2 antibody
  • Documents
  • Description
    RCAN2 Rabbit Polyclonal antibody. Positive WB detected in human brain tissue, HT-1080 cells, mouse brain tissue. Positive IHC detected in human gliomas tissue, human skin tissue. Observed molecular weight by Western-blot: 24kd,35kd
  • Tested applications
    ELISA, WB, IHC
  • Species reactivity
    Human,Mouse,Rat; other species not tested.
  • Alternative names
    Calcipressin 2 antibody; CSP2 antibody; DSCR1L1 antibody; hRCN2 antibody; MCIP2 antibody; RCAN2 antibody; regulator of calcineurin 2 antibody; ZAKI 4 antibody; ZAKI4 antibody
  • Isotype
    Rabbit IgG
  • Preparation
    This antibody was obtained by immunization of RCAN2 recombinant protein (Accession Number: BC038509). Purification method: Antigen affinity purified.
  • Clonality
    Polyclonal
  • Formulation
    PBS with 0.02% sodium azide and 50% glycerol pH 7.3.
  • Storage instructions
    Store at -20℃. DO NOT ALIQUOT
  • Applications

    Recommended Dilution:

    WB: 1:500-1:5000

    IHC: 1:20-1:200

  • Validations

    human brain tissue were subjected to SDS PAGE followed by western blot with Catalog No:114571(RCAN2 antibody) at dilution of 1:300

    human brain tissue were subjected to SDS PAGE followed by western blot with Catalog No:114571(RCAN2 antibody) at dilution of 1:300

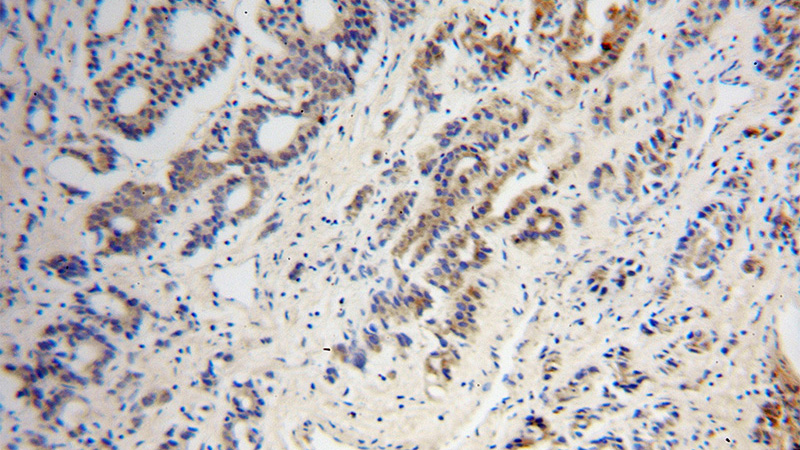
    Immunohistochemical of paraffin-embedded human gliomas using Catalog No:114571(RCAN2 antibody) at dilution of 1:100 (under 10x lens)

    Immunohistochemical of paraffin-embedded human gliomas using Catalog No:114571(RCAN2 antibody) at dilution of 1:100 (under 10x lens)

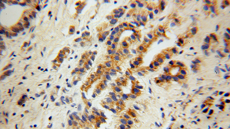
    Immunohistochemical of paraffin-embedded human gliomas using Catalog No:114571(RCAN2 antibody) at dilution of 1:100 (under 40x lens)

    Immunohistochemical of paraffin-embedded human gliomas using Catalog No:114571(RCAN2 antibody) at dilution of 1:100 (under 40x lens)

  • Background
    RCAN2 represents regulator of calcineurin 2

Please note: All products are "FOR RESEARCH USE ONLY AND ARE NOT INTENDED FOR DIAGNOSTIC OR THERAPEUTIC USE"