RASSF5 Polyclonal Antibody

Cat.#: 165344

Special Price 226.5 USD

Availability: In Stock
- +

Add to cart to get an online quotation

Product Information

  • Product Name
    RASSF5 Polyclonal Antibody
  • Documents
  • Description
    Polyclonal antibody to RASSF5
  • Tested applications
    WB, IHC
  • Species reactivity
    Human, Mouse, Rat
  • Alternative names
    RASSF5 antibody; Maxp1 antibody; NORE1 antibody; NORE1A antibody; NORE1B antibody; RAPL antibody; RASSF3 antibody; Ras association domain family member 5 antibody
  • Isotype
    Rabbit IgG
  • Preparation
    Antigen: Recombinant fusion protein containing a sequence corresponding to amino acids 1-265 of human RASSF5 (NP_872606.1).
  • Clonality
    Polyclonal
  • Formulation
    PBS with 0.02% sodium azide, 50% glycerol, pH7.3.
  • Storage instructions
    Store at -20℃. Avoid freeze / thaw cycles.
  • Applications
    WB 1:500 - 1:2000
    IHC 1:50 - 1:200
  • Validations

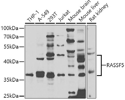
    Western blot - RASSF5 Polyclonal Antibody

    Western blot - RASSF5 Polyclonal Antibody

    Western blot analysis of extracts of various cell lines, using RASSF5 antibody at 1:1000 dilution.Secondary antibody: HRP Goat Anti-Rabbit IgG (H+L) at 1:10000 dilution.Lysates/proteins: 25ug per lane.Blocking buffer: 3% nonfat dry milk in TBST.Detection: ECL Basic Kit .Exposure time: 90s.

    Immunohistochemistry - RASSF5 Polyclonal Antibody

    Immunohistochemistry - RASSF5 Polyclonal Antibody

    Immunohistochemistry of paraffin-embedded human prostate using RASSF5 antibody at dilution of 1:100 (40x lens).

  • Background
    Potential tumor suppressor. Seems to be involved in lymphocyte adhesion by linking RAP1A activation upon T-cell receptor or chemokine stimulation to integrin activation. Isoform 2 stimulates lymphocyte polarization and the patch-like distribution of ITGAL/LFA-1, resulting in an enhanced adhesion to ICAM1. Together with RAP1A may participate in regulation of microtubule growth. The association of isoform 2 with activated RAP1A is required for directional movement of endothelial cells during wound healing. May be involved in regulation of Ras apoptotic function. The RASSF5-STK4/MST1 complex may mediate HRAS and KRAS induced apoptosis.

Please note: All products are "FOR RESEARCH USE ONLY AND ARE NOT INTENDED FOR DIAGNOSTIC OR THERAPEUTIC USE"