RASGRF1 Polyclonal Antibody

Cat.#: 165115

Special Price 226.5 USD

Availability: In Stock
- +

Add to cart to get an online quotation

Product Information

  • Product Name
    RASGRF1 Polyclonal Antibody
  • Documents
  • Description
    Polyclonal antibody to RASGRF1
  • Tested applications
    WB, IHC, IF
  • Species reactivity
    Human, Mouse
  • Alternative names
    RASGRF1 antibody; CDC25 antibody; CDC25L antibody; GNRP antibody; GRF1 antibody; GRF55 antibody; H-GRF55 antibody; PP13187 antibody; ras-GRF1 antibody; ras-specific guanine nucleotide-releasing factor 1 antibody
  • Isotype
    Rabbit IgG
  • Preparation
    Antigen: Recombinant fusion protein containing a sequence corresponding to amino acids 1-190 of human RASGRF1 (NP_001139120.1).
  • Clonality
    Polyclonal
  • Formulation
    PBS with 0.02% sodium azide, 50% glycerol, pH7.3.
  • Storage instructions
    Store at -20℃. Avoid freeze / thaw cycles.
  • Applications
    WB 1:500 - 1:2000
    IHC 1:50 - 1:200
    IF 1:50 - 1:100
  • Validations

    Western blot - RASGRF1 Polyclonal Antibody

    Western blot - RASGRF1 Polyclonal Antibody

    Western blot analysis of extracts of mouse brain, using RASGRF1 antibody at 1:1000 dilution.Secondary antibody: HRP Goat Anti-Rabbit IgG (H+L) at 1:10000 dilution.Lysates/proteins: 25ug per lane.Blocking buffer: 3% nonfat dry milk in TBST.Detection: ECL Basic Kit .Exposure time: 90s.

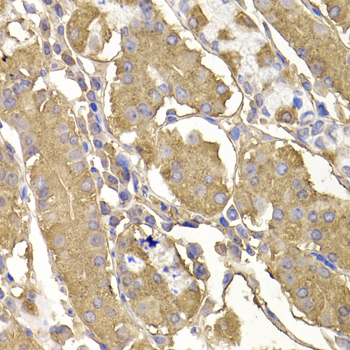
    Immunohistochemistry - RASGRF1 Polyclonal Antibody

    Immunohistochemistry - RASGRF1 Polyclonal Antibody

    Immunohistochemistry of paraffin-embedded human stomach using RASGRF1 antibody at dilution of 1:100 (40x lens).

    Immunofluorescence - RASGRF1 Polyclonal Antibody

    Immunofluorescence - RASGRF1 Polyclonal Antibody

    Immunofluorescence analysis of U2OS cells using RASGRF1 antibody . Blue: DAPI for nuclear staining.

  • Background
    Promotes the exchange of Ras-bound GDP by GTP.

Please note: All products are "FOR RESEARCH USE ONLY AND ARE NOT INTENDED FOR DIAGNOSTIC OR THERAPEUTIC USE"