RAD51C Polyclonal Antibody

Cat.#: 165112

Special Price 226.5 USD

Availability: In Stock
- +

Add to cart to get an online quotation

Product Information

  • Product Name
    RAD51C Polyclonal Antibody
  • Documents
  • Description
    Polyclonal antibody to RAD51C
  • Tested applications
    WB, IHC
  • Species reactivity
    Human, Mouse
  • Alternative names
    RAD51C antibody; BROVCA3 antibody; FANCO antibody; R51H3 antibody; RAD51L2 antibody; RAD51 paralog C antibody
  • Isotype
    Rabbit IgG
  • Preparation
    Antigen: Recombinant fusion protein containing a sequence corresponding to amino acids 1-135 of human RAD51C (NP_002867.1).
  • Clonality
    Polyclonal
  • Formulation
    PBS with 0.02% sodium azide, 50% glycerol, pH7.3.
  • Storage instructions
    Store at -20℃. Avoid freeze / thaw cycles.
  • Applications
    WB 1:500 - 1:2000
    IHC 1:50 - 1:100
  • Validations

    Western blot - RAD51C Polyclonal Antibody

    Western blot - RAD51C Polyclonal Antibody

    Western blot analysis of extracts of various cell lines, using RAD51C antibody at 1:1000 dilution.Secondary antibody: HRP Goat Anti-Rabbit IgG (H+L) at 1:10000 dilution.Lysates/proteins: 25ug per lane.Blocking buffer: 3% nonfat dry milk in TBST.Detection: ECL Basic Kit .Exposure time: 10s.

    Immunohistochemistry - RAD51C Polyclonal Antibody

    Immunohistochemistry - RAD51C Polyclonal Antibody

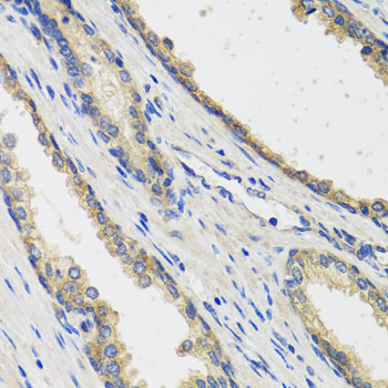
    Immunohistochemistry of paraffin-embedded human prostate using RAD51C antibody at dilution of 1:100 (40x lens).

    Immunohistochemistry - RAD51C Polyclonal Antibody

    Immunohistochemistry - RAD51C Polyclonal Antibody

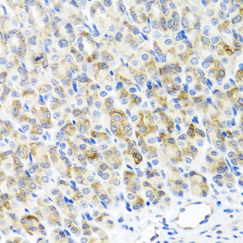
    Immunohistochemistry of paraffin-embedded human stomach using RAD51C antibody at dilution of 1:100 (40x lens).

    Immunohistochemistry - RAD51C Polyclonal Antibody

    Immunohistochemistry - RAD51C Polyclonal Antibody

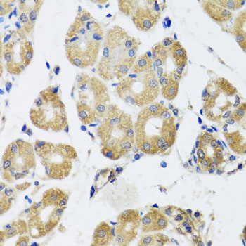
    Immunohistochemistry of paraffin-embedded mouse stomach using RAD51C antibody at dilution of 1:100 (40x lens).

  • Background
    Essential for the homologous recombination (HR) pathway of DNA repair. Involved in the homologous recombination repair (HRR) pathway of double-stranded DNA breaks arising during DNA replication or induced by DNA-damaging agents. Part of the RAD21 paralog protein complexes BCDX2 and CX3 which act at different stages of the BRCA1-BRCA2-dependent HR pathway. Upon DNA damage, BCDX2 seems to act downstream of BRCA2 recruitment and upstream of RAD51 recruitment; CX3 seems to act downstream of RAD51 recruitment; both complexes bind predominantly to the intersection of the four duplex arms of the Holliday junction (HJ) and to junction of replication forks. The BCDX2 complex was originally reported to bind single-stranded DNA, single-stranded gaps in duplex DNA and specifically to nicks in duplex DNA. The BCDX2 subcomplex RAD51B:RAD51C exhibits single-stranded DNA-dependent ATPase activity suggesting an involvement in early stages of the HR pathway. Involved in RAD51 foci formation in response to DNA damage suggesting an involvement in early stages of HR probably in the invasion step. Has an early function in DNA repair in facilitating phosphorylation of the checkpoint kinase CHEK2 and thereby transduction of the damage signal, leading to cell cycle arrest and HR activation. Participates in branch migration and HJ resolution and thus is important for processing HR intermediates late in the DNA repair process; the function may be linked to the CX3 complex. Part of a PALB2-scaffolded HR complex containing BRCA2 and which is thought to play a role in DNA repair by HR. Protects RAD51 from ubiquitin-mediated degradation that is enhanced following DNA damage. Plays a role in regulating mitochondrial DNA copy number under conditions of oxidative stress in the presence of RAD51 and XRCC3. Contributes to DNA cross-link resistance, sister chromatid cohesion and genomic stability. Involved in maintaining centrosome number in mitosis.

Please note: All products are "FOR RESEARCH USE ONLY AND ARE NOT INTENDED FOR DIAGNOSTIC OR THERAPEUTIC USE"