RAB22A antibody

Cat.#: 114420

Size:

Special Price 239.0 USD

Availability: In Stock
- +

Add to cart to get an online quotation

Product Information

  • Product Name
    RAB22A antibody
  • Documents
  • Description
    RAB22A Rabbit Polyclonal antibody. Positive IHC detected in human gliomas tissue. Positive IP detected in COLO 320 cells. Positive WB detected in BxPC-3 cells, COLO 320 cells, Jurkat cells. Observed molecular weight by Western-blot: 22 kDa
  • Tested applications
    ELISA, WB, IHC, IP
  • Species reactivity
    Human, Mouse; other species not tested.
  • Alternative names
    Rab 22 antibody; RAB22 antibody; RAB22A antibody; Ras related protein Rab 22A antibody
  • Isotype
    Rabbit IgG
  • Preparation
    This antibody was obtained by immunization of RAB22A recombinant protein (Accession Number: NM_020673). Purification method: Antigen affinity purified.
  • Clonality
    Polyclonal
  • Formulation
    PBS with 0.1% sodium azide and 50% glycerol pH 7.3.
  • Storage instructions
    Store at -20℃. DO NOT ALIQUOT
  • Applications

    Recommended Dilution:

    WB: 1:200-1:2000

    IP: 1:200-1:1000

    IHC: 1:20-1:200

  • Validations

    BxPC-3 cells were subjected to SDS PAGE followed by western blot with Catalog No:114420(RAB22A antibody) at dilution of 1:400

    BxPC-3 cells were subjected to SDS PAGE followed by western blot with Catalog No:114420(RAB22A antibody) at dilution of 1:400

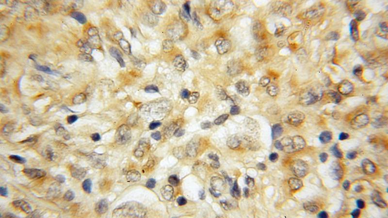
    Immunohistochemical of paraffin-embedded human gliomas using Catalog No:114420(RAB22A antibody) at dilution of 1:50 (under 10x lens)

    Immunohistochemical of paraffin-embedded human gliomas using Catalog No:114420(RAB22A antibody) at dilution of 1:50 (under 10x lens)

    IP Result of anti-RAB22A (IP:Catalog No:114420, 3ug; Detection:Catalog No:114420 1:300) with COLO 320 cells lysate 1720ug.

    IP Result of anti-RAB22A (IP:Catalog No:114420, 3ug; Detection:Catalog No:114420 1:300) with COLO 320 cells lysate 1720ug.

  • Background
    RAB22A is a small GTPase that is expressed ubiquitously in mammalian tissues. It localizes in the MHCI-containing recycling endosomal tubules and functions in endocytic pathway. RAB22A may regulate the dynamic interactions of endosomal compartments and it may be involved in the communication between the biosynthetic and early endocytic pathways. It shares 81% identity with RAB31.
  • References
    • Zhu H, Liang Z, Li G. Rabex-5 is a Rab22 effector and mediates a Rab22-Rab5 signaling cascade in endocytosis. Molecular biology of the cell. 20(22):4720-9. 2009.
    • Wang L, Liang Z, Li G. Rab22 controls NGF signaling and neurite outgrowth in PC12 cells. Molecular biology of the cell. 22(20):3853-60. 2011.
    • Seto S, Tsujimura K, Koide Y. Rab GTPases regulating phagosome maturation are differentially recruited to mycobacterial phagosomes. Traffic (Copenhagen, Denmark). 12(4):407-20. 2011.
    • Wiesner C, El Azzouzi K, Linder S. A specific subset of RabGTPases controls cell surface exposure of MT1-MMP, extracellular matrix degradation and three-dimensional invasion of macrophages. Journal of cell science. 126(Pt 13):2820-33. 2013.
    • Tanaka T, Arai M, Wu S. Epigenetic silencing of microRNA-373 plays an important role in regulating cell proliferation in colon cancer. Oncology reports. 26(5):1329-35. 2011.
    • Margue C, Philippidou D, Reinsbach SE, Schmitt M, Behrmann I, Kreis S. New target genes of MITF-induced microRNA-211 contribute to melanoma cell invasion. PloS one. 8(9):e73473. 2013.
    • Yuan F, Snapp EL, Novikoff PM. Human liver cell trafficking mutants: characterization and whole exome sequencing. PloS one. 9(1):e87043. 2014.
    • Ahram DF, Cook AC, Kecova H, Grozdanic SD, Kuehn MH. Identification of genetic loci associated with primary angle-closure glaucoma in the basset hound. Molecular vision. 20:497-510. 2014.

Please note: All products are "FOR RESEARCH USE ONLY AND ARE NOT INTENDED FOR DIAGNOSTIC OR THERAPEUTIC USE"