PYGB Polyclonal Antibody

Cat.#: 161678

Special Price 226.5 USD

Availability: In Stock
- +

Add to cart to get an online quotation

Product Information

  • Product Name
    PYGB Polyclonal Antibody
  • Documents
  • Description
    Polyclonal antibody to PYGB
  • Tested applications
    WB, IHC
  • Species reactivity
    Human, Mouse, Rat
  • Alternative names
    PYGB antibody; GPBB antibody; glycogen phosphorylase B antibody
  • Isotype
    Rabbit IgG
  • Preparation
    Antigen: Recombinant fusion protein containing a sequence corresponding to amino acids 544-843 of human PYGB (NP_002853.2).
  • Clonality
    Polyclonal
  • Formulation
    PBS with 0.02% sodium azide, 50% glycerol, pH7.3.
  • Storage instructions
    Store at -20℃. Avoid freeze / thaw cycles.
  • Applications
    WB 1:500 - 1:2000
    IHC 1:50 - 1:200
  • Validations

    Western blot - PYGB Polyclonal Antibody

    Western blot - PYGB Polyclonal Antibody

    Western blot analysis of extracts of various cell lines, using PYGB antibody at 1:1000 dilution.Secondary antibody: HRP Goat Anti-Rabbit IgG (H+L) at 1:10000 dilution.Lysates/proteins: 25ug per lane.Blocking buffer: 3% nonfat dry milk in TBST.Detection: ECL Enhanced Kit .Exposure time: 30s.

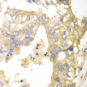
    Immunohistochemistry - PYGB Polyclonal Antibody

    Immunohistochemistry - PYGB Polyclonal Antibody

    Immunohistochemistry of paraffin-embedded human liver cancer using PYGB antibody at dilution of 1:100 (40x lens).

  • Background
    Glycogen phosphorylase that regulates glycogen mobilization. Phosphorylase is an important allosteric enzyme in carbohydrate metabolism. Enzymes from different sources differ in their regulatory mechanisms and in their natural substrates. However, all known phosphorylases share catalytic and structural properties.

Please note: All products are "FOR RESEARCH USE ONLY AND ARE NOT INTENDED FOR DIAGNOSTIC OR THERAPEUTIC USE"