PUF60 Polyclonal Antibody

Cat.#: 164993

Special Price 226.5 USD

Availability: In Stock
- +

Add to cart to get an online quotation

Product Information

  • Product Name
    PUF60 Polyclonal Antibody
  • Documents
  • Description
    Polyclonal antibody to PUF60
  • Tested applications
    WB, IHC, IF, IP
  • Species reactivity
    Human, Mouse, Rat
  • Alternative names
    PUF60 antibody; FIR antibody; RoBPI antibody; SIAHBP1 antibody; VRJS antibody; poly binding splicing factor 60 antibody
  • Isotype
    Rabbit IgG
  • Preparation
    Antigen: Recombinant fusion protein containing a sequence corresponding to amino acids 243-542 of human PUF60 (NP_055096.2).
  • Clonality
    Polyclonal
  • Formulation
    PBS with 0.02% sodium azide, 50% glycerol, pH7.3.
  • Storage instructions
    Store at -20℃. Avoid freeze / thaw cycles.
  • Applications
    WB 1:500 - 1:2000
    IHC 1:50 - 1:200
    IF 1:50 - 1:100
    IP 1:20 - 1:50
  • Validations

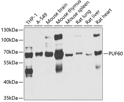
    Western blot - PUF60 Polyclonal Antibody

    Western blot - PUF60 Polyclonal Antibody

    Western blot analysis of extracts of various cell lines, using PUF60 antibody at 1:1000 dilution.Secondary antibody: HRP Goat Anti-Rabbit IgG (H+L) at 1:10000 dilution.Lysates/proteins: 25ug per lane.Blocking buffer: 3% nonfat dry milk in TBST.Detection: ECL Basic Kit .Exposure time: 30s.

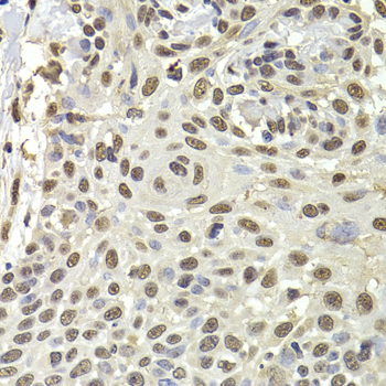
    Immunohistochemistry - PUF60 Polyclonal Antibody

    Immunohistochemistry - PUF60 Polyclonal Antibody

    Immunohistochemistry of paraffin-embedded human well-differentiated squamous skin carcinoma using PUF60 antibody at dilution of 1:100 (40x lens).

    Immunofluorescence - PUF60 Polyclonal Antibody

    Immunofluorescence - PUF60 Polyclonal Antibody

    Immunofluorescence analysis of HeLa cells using PUF60 antibody . Blue: DAPI for nuclear staining.

    Immunoprecipitation - PUF60 Polyclonal Antibody

    Immunoprecipitation - PUF60 Polyclonal Antibody

    Immunoprecipitation analysis of 150ug extracts of A549 cells using 3ug PUF60 antibody . Western blot was performed from the immunoprecipitate using PUF60 antibody at a dilition of 1:500.

  • Background
    DNA- and RNA-binding protein, involved in several nuclear processes such as pre-mRNA splicing, apoptosis and transcription regulation. In association with FUBP1 regulates MYC transcription at the P2 promoter through the core-TFIIH basal transcription factor. Acts as a transcriptional repressor through the core-TFIIH basal transcription factor. Represses FUBP1-induced transcriptional activation but not basal transcription. Decreases ERCC3 helicase activity. Does not repress TFIIH-mediated transcription in xeroderma pigmentosum complementation group B (XPB) cells. Is also involved in pre-mRNA splicing. Promotes splicing of an intron with weak 3'-splice site and pyrimidine tract in a cooperative manner with U2AF2. Involved in apoptosis induction when overexpressed in HeLa cells. Isoform 6 failed to repress MYC transcription and inhibited FIR-induced apoptosis in colorectal cancer. Isoform 6 may contribute to tumor progression by enabling increased MYC expression and greater resistance to apoptosis in tumors than in normal cells. Modulates alternative splicing of several mRNAs. Binds to relaxed DNA of active promoter regions. Binds to the pyrimidine tract and 3'-splice site regions of pre-mRNA; binding is enhanced in presence of U2AF2. Binds to Y5 RNA in association with TROVE2. Binds to poly(U) RNA.

Please note: All products are "FOR RESEARCH USE ONLY AND ARE NOT INTENDED FOR DIAGNOSTIC OR THERAPEUTIC USE"