PTN Polyclonal Antibody

Cat.#: 164035

Special Price 226.5 USD

Availability: In Stock
- +

Add to cart to get an online quotation

Product Information

  • Product Name
    PTN Polyclonal Antibody
  • Documents
  • Description
    Polyclonal antibody to PTN
  • Tested applications
    WB, IHC
  • Species reactivity
    Human, Mouse
  • Alternative names
    PTN antibody; HARP antibody; HB-GAM antibody; HBBM antibody; HBGF-8 antibody; HBGF8 antibody; HBNF antibody; HBNF-1 antibody; NEGF1 antibody; OSF-1 antibody; pleiotrophin antibody
  • Isotype
    Rabbit IgG
  • Preparation
    Antigen: A synthetic Peptide of human PTN
  • Clonality
    Polyclonal
  • Formulation
    PBS with 0.02% sodium azide, 50% glycerol, pH7.3.
  • Storage instructions
    Store at -20℃. Avoid freeze / thaw cycles.
  • Applications
    WB 1:500 - 1:2000
    IHC 1:50 - 1:200
  • Validations

    Western blot - PTN Polyclonal Antibody

    Western blot - PTN Polyclonal Antibody

    Western blot analysis of extracts of various cell lines, using PTN antibody at 1:400 dilution._Secondary antibody: HRP Goat Anti-Rabbit IgG (H+L) at 1:10000 dilution._Lysates/proteins: 25ug per lane._Blocking buffer: 3% nonfat dry milk in TBST._Detection: ECL Enhanced Kit ._Exposure time: 60s.

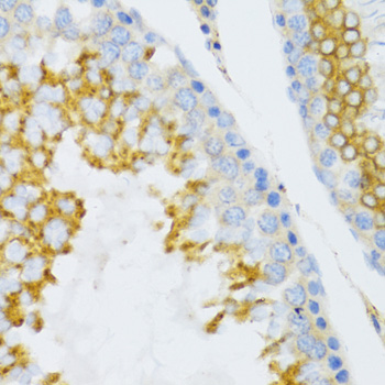
    Immunohistochemistry - PTN Polyclonal Antibody

    Immunohistochemistry - PTN Polyclonal Antibody

    Immunohistochemistry of paraffin-embedded mouse testis using PTN Antibody at dilution of 1:100 (40x lens).

  • Background
    Secreted growth factor that induces neurite outgrowth and which is mitogenic for fibroblasts, epithelial, and endothelial cells. Binds anaplastic lymphoma kinase (ALK) which induces MAPK pathway activation, an important step in the anti-apoptotic signaling of PTN and regulation of cell proliferation. Binds to cell-surface target proteins via their chondroitin sulfate groups. Down-regulates PTPRZ1 activity.

Please note: All products are "FOR RESEARCH USE ONLY AND ARE NOT INTENDED FOR DIAGNOSTIC OR THERAPEUTIC USE"