PSTPIP1 Polyclonal Antibody

Cat.#: 166637

Special Price 226.5 USD

Availability: In Stock
- +

Add to cart to get an online quotation

Product Information

  • Product Name
    PSTPIP1 Polyclonal Antibody
  • Documents
  • Description
    Polyclonal antibody to PSTPIP1
  • Tested applications
    WB, IHC
  • Species reactivity
    Human, Mouse, Rat
  • Alternative names
    PSTPIP1 antibody; CD2BP1 antibody; CD2BP1L antibody; CD2BP1S antibody; H-PIP antibody; PAPAS antibody; PSTPIP antibody; proline-serine-threonine phosphatase-interacting protein 1 antibody
  • Isotype
    Rabbit IgG
  • Preparation
    Antigen: Recombinant fusion protein containing a sequence corresponding to amino acids 157-416 of human PSTPIP1 (NP_003969.2).
  • Clonality
    Polyclonal
  • Formulation
    PBS with 0.02% sodium azide, 50% glycerol, pH7.3.
  • Storage instructions
    Store at -20℃. Avoid freeze / thaw cycles.
  • Applications
    WB 1:500 - 1:2000
    IHC 1:50 - 1:200
  • Validations

    Western blot - PSTPIP1 Polyclonal Antibody

    Western blot - PSTPIP1 Polyclonal Antibody

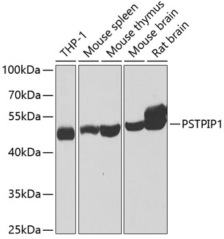
    Western blot analysis of extracts of various cell lines, using PSTPIP1 antibody at 1:1000 dilution.Secondary antibody: HRP Goat Anti-Rabbit IgG (H+L) at 1:10000 dilution.Lysates/proteins: 25ug per lane.Blocking buffer: 3% nonfat dry milk in TBST.Detection: ECL Basic Kit .Exposure time: 40s.

    Western blot - PSTPIP1 Polyclonal Antibody

    Western blot - PSTPIP1 Polyclonal Antibody

    Western blot analysis of extracts of various cells, using PSTPIP1 antibody at 1:1000 dilution ratio through one-step method.Secondary antibody: HRP Goat Anti-Rabbit IgG (H+L) at 1:10000 dilution.Lysates/proteins: 25ug per lane.Blocking buffer: 3% nonfat dry milk in TBST.Detection: ECL Basic Kit .Exposure time: 90s.

    Immunohistochemistry - PSTPIP1 Polyclonal Antibody

    Immunohistochemistry - PSTPIP1 Polyclonal Antibody

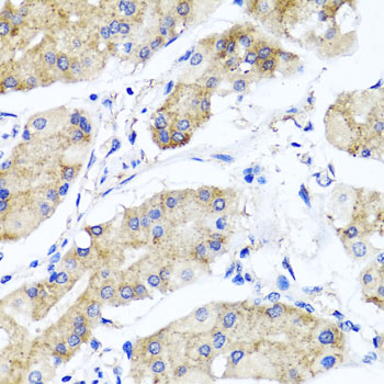
    Immunohistochemistry of paraffin-embedded human stomach using PSTPIP1 antibody at dilution of 1:100 (40x lens).

    Immunohistochemistry - PSTPIP1 Polyclonal Antibody

    Immunohistochemistry - PSTPIP1 Polyclonal Antibody

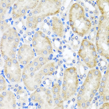
    Immunohistochemistry of paraffin-embedded mouse kidney using PSTPIP1 antibody at dilution of 1:100 (40x lens).

  • Background
    Involved in regulation of the actin cytoskeleton. May regulate WAS actin-bundling activity. Bridges the interaction between ABL1 and PTPN18 leading to ABL1 dephosphorylation. May play a role as a scaffold protein between PTPN12 and WAS and allow PTPN12 to dephosphorylate WAS. Has the potential to physically couple CD2 and CD2AP to WAS. Acts downstream of CD2 and CD2AP to recruit WAS to the T-cell:APC contact site so as to promote the actin polymerization required for synapse induction during T-cell activation (By similarity). Down-regulates CD2-stimulated adhesion through the coupling of PTPN12 to CD2. Also has a role in innate immunity and the inflammatory response. Recruited to inflammasomes by MEFV. Induces formation of pyroptosomes, large supramolecular structures composed of oligomerized PYCARD dimers which form prior to inflammatory apoptosis. Binding to MEFV allows MEFV to bind to PYCARD and facilitates pyroptosome formation. Regulates endocytosis and cell migration in neutrophils.

Please note: All products are "FOR RESEARCH USE ONLY AND ARE NOT INTENDED FOR DIAGNOSTIC OR THERAPEUTIC USE"