PSMD9 Polyclonal Antibody

Cat.#: 164488

Special Price 226.5 USD

Availability: In Stock
- +

Add to cart to get an online quotation

Product Information

  • Product Name
    PSMD9 Polyclonal Antibody
  • Documents
  • Description
    Polyclonal antibody to PSMD9
  • Tested applications
    WB, IHC, IF
  • Species reactivity
    Human, Mouse, Rat
  • Alternative names
    PSMD9 antibody; Rpn4 antibody; p27 antibody; proteasome 26S subunit, non-ATPase 9 antibody
  • Isotype
    Rabbit IgG
  • Preparation
    Antigen: Recombinant fusion protein containing a sequence corresponding to amino acids 1-223 of human PSMD9 (NP_002804.2).
  • Clonality
    Polyclonal
  • Formulation
    PBS with 0.02% sodium azide, 50% glycerol, pH7.3.
  • Storage instructions
    Store at -20℃. Avoid freeze / thaw cycles.
  • Applications
    WB 1:500 - 1:2000
    IHC 1:50 - 1:200
    IF 1:50 - 1:200
  • Validations

    Western blot - PSMD9 Polyclonal Antibody

    Western blot - PSMD9 Polyclonal Antibody

    Western blot analysis of extracts of various cell lines, using PSMD9 antibody at 1:1000 dilution.Secondary antibody: HRP Goat Anti-Rabbit IgG (H+L) at 1:10000 dilution.Lysates/proteins: 25ug per lane.Blocking buffer: 3% nonfat dry milk in TBST.Detection: ECL Enhanced Kit .

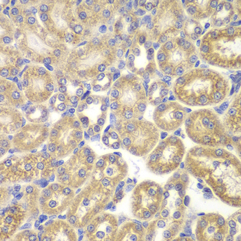
    Immunohistochemistry - PSMD9 Polyclonal Antibody

    Immunohistochemistry - PSMD9 Polyclonal Antibody

    Immunohistochemistry of paraffin-embedded rat kidney using PSMD9 antibody at dilution of 1:200 (40x lens).

    Immunofluorescence - PSMD9 Polyclonal Antibody

    Immunofluorescence - PSMD9 Polyclonal Antibody

    Immunofluorescence analysis of HeLa cells using PSMD9 antibody . Blue: DAPI for nuclear staining.

  • Background
    Acts as a chaperone during the assembly of the 26S proteasome, specifically of the base subcomplex of the PA700/19S regulatory complex (RC). During the base subcomplex assembly is part of an intermediate PSMD9:PSMC6:PSMC3 module, also known as modulator trimer complex; PSMD9 is released during the further base assembly process.

Please note: All products are "FOR RESEARCH USE ONLY AND ARE NOT INTENDED FOR DIAGNOSTIC OR THERAPEUTIC USE"