PSMD8 Polyclonal Antibody

Cat.#: 165110

Special Price 226.5 USD

Availability: In Stock
- +

Add to cart to get an online quotation

Product Information

  • Product Name
    PSMD8 Polyclonal Antibody
  • Documents
  • Description
    Polyclonal antibody to PSMD8
  • Tested applications
    WB, IHC, IF
  • Species reactivity
    Human, Mouse
  • Alternative names
    PSMD8 antibody; HEL-S-91n antibody; HIP6 antibody; HYPF antibody; Nin1p antibody; Rpn12 antibody; S14 antibody; p31 antibody; proteasome 26S subunit, non-ATPase 8 antibody
  • Isotype
    Rabbit IgG
  • Preparation
    Antigen: Recombinant fusion protein containing a sequence corresponding to amino acids 101-350 of human PSMD8 (NP_002803.2).
  • Clonality
    Polyclonal
  • Formulation
    PBS with 0.02% sodium azide, 50% glycerol, pH7.3.
  • Storage instructions
    Store at -20℃. Avoid freeze / thaw cycles.
  • Applications
    WB 1:500 - 1:2000
    IHC 1:50 - 1:200
    IF 1:50 - 1:100
  • Validations

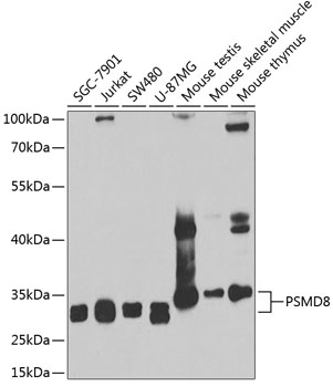
    Western blot - PSMD8 Polyclonal Antibody

    Western blot - PSMD8 Polyclonal Antibody

    Western blot analysis of extracts of various cell lines, using PSMD8 antibody at 1:1000 dilution.Secondary antibody: HRP Goat Anti-Rabbit IgG (H+L) at 1:10000 dilution.Lysates/proteins: 25ug per lane.Blocking buffer: 3% nonfat dry milk in TBST.Detection: ECL Basic Kit .Exposure time: 90s.

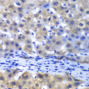
    Immunohistochemistry - PSMD8 Polyclonal Antibody

    Immunohistochemistry - PSMD8 Polyclonal Antibody

    Immunohistochemistry of paraffin-embedded human liver injury using PSMD8 antibody at dilution of 1:100 (40x lens).

    Immunofluorescence - PSMD8 Polyclonal Antibody

    Immunofluorescence - PSMD8 Polyclonal Antibody

    Immunofluorescence analysis of U2OS cells using PSMD8 antibody .

  • Background
    Component of the 26S proteasome, a multiprotein complex involved in the ATP-dependent degradation of ubiquitinated proteins. This complex plays a key role in the maintenance of protein homeostasis by removing misfolded or damaged proteins, which could impair cellular functions, and by removing proteins whose functions are no longer required. Therefore, the proteasome participates in numerous cellular processes, including cell cycle progression, apoptosis, or DNA damage repair.

Please note: All products are "FOR RESEARCH USE ONLY AND ARE NOT INTENDED FOR DIAGNOSTIC OR THERAPEUTIC USE"