PSMD2 Polyclonal Antibody

Cat.#: 163652

Special Price 226.5 USD

Availability: In Stock
- +

Add to cart to get an online quotation

Product Information

  • Product Name
    PSMD2 Polyclonal Antibody
  • Documents
  • Description
    Polyclonal antibody to PSMD2
  • Tested applications
    WB, IHC, IF
  • Species reactivity
    Human, Mouse
  • Alternative names
    PSMD2 antibody; P97 antibody; RPN1 antibody; S2 antibody; TRAP2 antibody; proteasome 26S subunit, non-ATPase 2 antibody
  • Isotype
    Rabbit IgG
  • Preparation
    Antigen: Recombinant fusion protein containing a sequence corresponding to amino acids 1-260 of human PSMD2 (NP_002799.3).
  • Clonality
    Polyclonal
  • Formulation
    PBS with 0.02% sodium azide, 50% glycerol, pH7.3.
  • Storage instructions
    Store at -20℃. Avoid freeze / thaw cycles.
  • Applications
    WB 1:500 - 1:2000
    IHC 1:50 - 1:200
    IF 1:50 - 1:200
  • Validations

    Western blot - PSMD2 Polyclonal Antibody

    Western blot - PSMD2 Polyclonal Antibody

    Western blot analysis of extracts of various cell lines, using PSMD2 antibody at 1:600 dilution.Secondary antibody: HRP Goat Anti-Rabbit IgG (H+L) at 1:10000 dilution.Lysates/proteins: 25ug per lane.Blocking buffer: 3% nonfat dry milk in TBST.Detection: ECL Basic Kit .Exposure time: 90s.

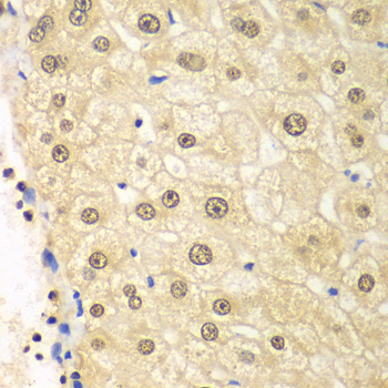
    Immunohistochemistry - PSMD2 Polyclonal Antibody

    Immunohistochemistry - PSMD2 Polyclonal Antibody

    Immunohistochemistry of paraffin-embedded human liver injury using PSMD2 antibody at dilution of 1:100 (40x lens).

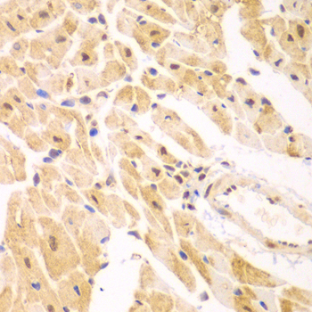
    Immunohistochemistry - PSMD2 Polyclonal Antibody

    Immunohistochemistry - PSMD2 Polyclonal Antibody

    Immunohistochemistry of paraffin-embedded mouse heart using PSMD2 antibody at dilution of 1:100 (40x lens).

    Immunofluorescence - PSMD2 Polyclonal Antibody

    Immunofluorescence - PSMD2 Polyclonal Antibody

    Immunofluorescence analysis of HeLa cells using PSMD2 antibody . Blue: DAPI for nuclear staining.

  • Background
    Component of the 26S proteasome, a multiprotein complex involved in the ATP-dependent degradation of ubiquitinated proteins. This complex plays a key role in the maintenance of protein homeostasis by removing misfolded or damaged proteins, which could impair cellular functions, and by removing proteins whose functions are no longer required. Therefore, the proteasome participates in numerous cellular processes, including cell cycle progression, apoptosis, or DNA damage repair.; Binds to the intracellular domain of tumor necrosis factor type 1 receptor. The binding domain of TRAP1 and TRAP2 resides outside the death domain of TNFR1.

Please note: All products are "FOR RESEARCH USE ONLY AND ARE NOT INTENDED FOR DIAGNOSTIC OR THERAPEUTIC USE"