PSMD12 Polyclonal Antibody

Cat.#: 164992

Special Price 226.5 USD

Availability: In Stock
- +

Add to cart to get an online quotation

Product Information

  • Product Name
    PSMD12 Polyclonal Antibody
  • Documents
  • Description
    Polyclonal antibody to PSMD12
  • Tested applications
    WB, IHC
  • Species reactivity
    Human, Mouse, Rat
  • Alternative names
    PSMD12 antibody; Rpn5 antibody; p55 antibody; STISS antibody; proteasome 26S subunit, non-ATPase 12 antibody
  • Isotype
    Rabbit IgG
  • Preparation
    Antigen: Recombinant fusion protein containing a sequence corresponding to amino acids 197-456 of human PSMD12 (NP_002807.1).
  • Clonality
    Polyclonal
  • Formulation
    PBS with 0.02% sodium azide, 50% glycerol, pH7.3.
  • Storage instructions
    Store at -20℃. Avoid freeze / thaw cycles.
  • Applications
    WB 1:500 - 1:2000
    IHC 1:50 - 1:200
  • Validations

    Western blot - PSMD12 Polyclonal Antibody

    Western blot - PSMD12 Polyclonal Antibody

    Western blot analysis of extracts of various cell lines, using PSMD12 antibody at 1:1000 dilution.Secondary antibody: HRP Goat Anti-Rabbit IgG (H+L) at 1:10000 dilution.Lysates/proteins: 25ug per lane.Blocking buffer: 3% nonfat dry milk in TBST.Detection: ECL Basic Kit .Exposure time: 90s.

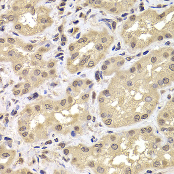
    Immunohistochemistry - PSMD12 Polyclonal Antibody

    Immunohistochemistry - PSMD12 Polyclonal Antibody

    Immunohistochemistry of paraffin-embedded human kidney using PSMD12 antibody at dilution of 1:100 (40x lens).

  • Background
    Component of the 26S proteasome, a multiprotein complex involved in the ATP-dependent degradation of ubiquitinated proteins. This complex plays a key role in the maintenance of protein homeostasis by removing misfolded or damaged proteins, which could impair cellular functions, and by removing proteins whose functions are no longer required. Therefore, the proteasome participates in numerous cellular processes, including cell cycle progression, apoptosis, or DNA damage repair.

Please note: All products are "FOR RESEARCH USE ONLY AND ARE NOT INTENDED FOR DIAGNOSTIC OR THERAPEUTIC USE"