PSMC5 Polyclonal Antibody

Cat.#: 161677

Special Price 226.5 USD

Availability: In Stock
- +

Add to cart to get an online quotation

Product Information

  • Product Name
    PSMC5 Polyclonal Antibody
  • Documents
  • Description
    Polyclonal antibody to PSMC5
  • Tested applications
    WB, IHC
  • Species reactivity
    Human, Mouse
  • Alternative names
    PSMC5 antibody; S8 antibody; SUG-1 antibody; SUG1 antibody; TBP10 antibody; TRIP1 antibody; p45 antibody; p45/SUG antibody; proteasome 26S subunit, ATPase 5 antibody
  • Isotype
    Rabbit IgG
  • Preparation
    Antigen: Recombinant fusion protein containing a sequence corresponding to amino acids 127-406 of human PSMC5 (NP_002796.4).
  • Clonality
    Polyclonal
  • Formulation
    PBS with 0.02% sodium azide, 50% glycerol, pH7.3.
  • Storage instructions
    Store at -20℃. Avoid freeze / thaw cycles.
  • Applications
    WB 1:500 - 1:2000
    IHC 1:50 - 1:200
  • Validations

    Western blot - PSMC5 Polyclonal Antibody

    Western blot - PSMC5 Polyclonal Antibody

    Western blot analysis of extracts of various cell lines, using PSMC5 antibody at 1:1000 dilution.Secondary antibody: HRP Goat Anti-Rabbit IgG (H+L) at 1:10000 dilution.Lysates/proteins: 25ug per lane.Blocking buffer: 3% nonfat dry milk in TBST.

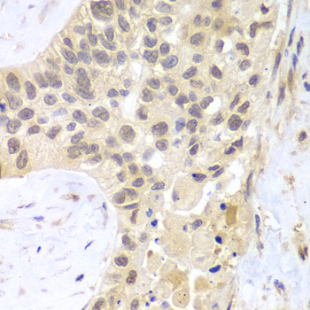
    Immunohistochemistry - PSMC5 Polyclonal Antibody

    Immunohistochemistry - PSMC5 Polyclonal Antibody

    Immunohistochemistry of paraffin-embedded human lung cancer using PSMC5 antibody at dilution of 1:100 (40x lens).

  • Background
    Component of the 26S proteasome, a multiprotein complex involved in the ATP-dependent degradation of ubiquitinated proteins. This complex plays a key role in the maintenance of protein homeostasis by removing misfolded or damaged proteins, which could impair cellular functions, and by removing proteins whose functions are no longer required. Therefore, the proteasome participates in numerous cellular processes, including cell cycle progression, apoptosis, or DNA damage repair. PSMC5 belongs to the heterohexameric ring of AAA (ATPases associated with diverse cellular activities) proteins that unfolds ubiquitinated target proteins that are concurrently translocated into a proteolytic chamber and degraded into peptides.

Please note: All products are "FOR RESEARCH USE ONLY AND ARE NOT INTENDED FOR DIAGNOSTIC OR THERAPEUTIC USE"