PSMB5 Polyclonal Antibody

Cat.#: 163642

Special Price 226.5 USD

Availability: In Stock
- +

Add to cart to get an online quotation

Product Information

  • Product Name
    PSMB5 Polyclonal Antibody
  • Documents
  • Description
    Polyclonal antibody to PSMB5
  • Tested applications
    WB, IHC, IF, IP
  • Species reactivity
    Human, Mouse, Rat
  • Alternative names
    PSMB5 antibody; LMPX antibody; MB1 antibody; X antibody; proteasome subunit beta 5 antibody
  • Isotype
    Rabbit IgG
  • Preparation
    Antigen: Recombinant fusion protein containing a sequence corresponding to amino acids 1-263 of human PSMB5 (NP_002788.1).
  • Clonality
    Polyclonal
  • Formulation
    PBS with 0.02% sodium azide, 50% glycerol, pH7.3.
  • Storage instructions
    Store at -20℃. Avoid freeze / thaw cycles.
  • Applications
    WB 1:500 - 1:2000
    IHC 1:50 - 1:200
    IF 1:50 - 1:200
    IP 1:50 - 1:100
  • Validations

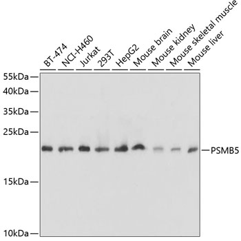
    Western blot - PSMB5 Polyclonal Antibody

    Western blot - PSMB5 Polyclonal Antibody

    Western blot analysis of extracts of various cell lines, using PSMB5 antibody at 1:1000 dilution.Secondary antibody: HRP Goat Anti-Rabbit IgG (H+L) at 1:10000 dilution.Lysates/proteins: 25ug per lane.Blocking buffer: 3% nonfat dry milk in TBST.Detection: ECL Basic Kit .Exposure time: 10s.

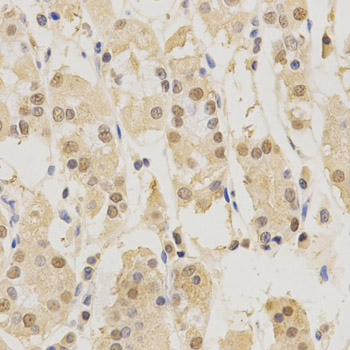
    Immunohistochemistry - PSMB5 Polyclonal Antibody

    Immunohistochemistry - PSMB5 Polyclonal Antibody

    Immunohistochemistry of paraffin-embedded human stomach using PSMB5 antibody at dilution of 1:200 (40x lens).

    Immunofluorescence - PSMB5 Polyclonal Antibody

    Immunofluorescence - PSMB5 Polyclonal Antibody

    Immunofluorescence analysis of U2OS cells using PSMB5 antibody . Blue: DAPI for nuclear staining.

  • Background
    Component of the 20S core proteasome complex involved in the proteolytic degradation of most intracellular proteins. This complex plays numerous essential roles within the cell by associating with different regulatory particles. Associated with two 19S regulatory particles, forms the 26S proteasome and thus participates in the ATP-dependent degradation of ubiquitinated proteins. The 26S proteasome plays a key role in the maintenance of protein homeostasis by removing misfolded or damaged proteins that could impair cellular functions, and by removing proteins whose functions are no longer required. Associated with the PA200 or PA28, the 20S proteasome mediates ubiquitin-independent protein degradation. This type of proteolysis is required in several pathways including spermatogenesis (20S-PA200 complex) or generation of a subset of MHC class I-presented antigenic peptides (20S-PA28 complex). Within the 20S core complex, PSMB5 displays a chymotrypsin-like activity.

Please note: All products are "FOR RESEARCH USE ONLY AND ARE NOT INTENDED FOR DIAGNOSTIC OR THERAPEUTIC USE"