PSMA2 Polyclonal Antibody

Cat.#: 161676

Special Price 226.5 USD

Availability: In Stock
- +

Add to cart to get an online quotation

Product Information

  • Product Name
    PSMA2 Polyclonal Antibody
  • Documents
  • Description
    Polyclonal antibody to PSMA2
  • Tested applications
    WB, IHC
  • Species reactivity
    Human, Mouse
  • Alternative names
    PSMA2 antibody; HC3 antibody; MU antibody; PMSA2 antibody; PSC2 antibody; proteasome subunit alpha 2 antibody
  • Isotype
    Rabbit IgG
  • Preparation
    Antigen: Recombinant fusion protein containing a sequence corresponding to amino acids 1-234 of human PSMA2 (NP_002778.1).
  • Clonality
    Polyclonal
  • Formulation
    PBS with 0.02% sodium azide, 50% glycerol, pH7.3.
  • Storage instructions
    Store at -20℃. Avoid freeze / thaw cycles.
  • Applications
    WB 1:500 - 1:2000
    IHC 1:50 - 1:200
  • Validations

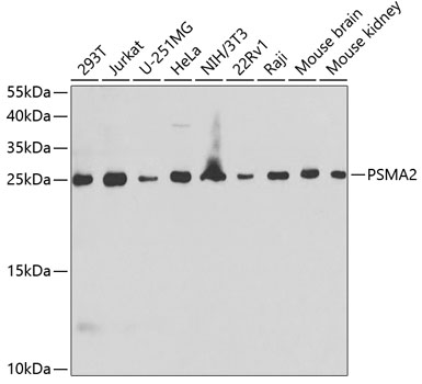
    Western blot - PSMA2 Polyclonal Antibody

    Western blot - PSMA2 Polyclonal Antibody

    Western blot analysis of extracts of various cell lines, using PSMA2 antibody at 1:1000 dilution.Secondary antibody: HRP Goat Anti-Rabbit IgG (H+L) at 1:10000 dilution.Lysates/proteins: 25ug per lane.Blocking buffer: 3% nonfat dry milk in TBST.

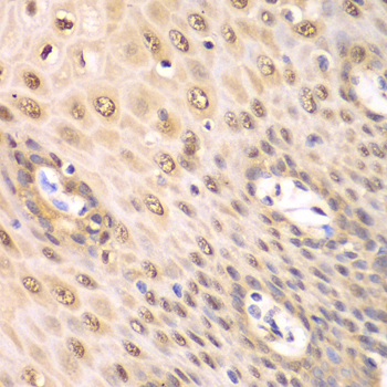
    Immunohistochemistry - PSMA2 Polyclonal Antibody

    Immunohistochemistry - PSMA2 Polyclonal Antibody

    Immunohistochemistry of paraffin-embedded human esophagus using PSMA2 antibody at dilution of 1:100 (40x lens).

  • Background
    Component of the 20S core proteasome complex involved in the proteolytic degradation of most intracellular proteins. This complex plays numerous essential roles within the cell by associating with different regulatory particles. Associated with two 19S regulatory particles, forms the 26S proteasome and thus participates in the ATP-dependent degradation of ubiquitinated proteins. The 26S proteasome plays a key role in the maintenance of protein homeostasis by removing misfolded or damaged proteins that could impair cellular functions, and by removing proteins whose functions are no longer required. Associated with the PA200 or PA28, the 20S proteasome mediates ubiquitin-independent protein degradation. This type of proteolysis is required in several pathways including spermatogenesis (20S-PA200 complex) or generation of a subset of MHC class I-presented antigenic peptides (20S-PA28 complex).

Please note: All products are "FOR RESEARCH USE ONLY AND ARE NOT INTENDED FOR DIAGNOSTIC OR THERAPEUTIC USE"