PRSS1 Polyclonal Antibody

Cat.#: 161069

Special Price 226.5 USD

Availability: In Stock
- +

Add to cart to get an online quotation

Product Information

  • Product Name
    PRSS1 Polyclonal Antibody
  • Documents
  • Description
    Polyclonal antibody to PRSS1
  • Tested applications
    WB, IHC
  • Species reactivity
    Human, Mouse
  • Alternative names
    PRSS1 antibody; TRP1 antibody; TRY1 antibody; TRY4 antibody; TRYP1 antibody; trypsin-1 antibody
  • Isotype
    Rabbit IgG
  • Preparation
    Antigen: Recombinant fusion protein containing a sequence corresponding to amino acids 24-247 of human PRSS1 (NP_002760.1).
  • Clonality
    Polyclonal
  • Formulation
    PBS with 0.02% sodium azide, 50% glycerol, pH7.3.
  • Storage instructions
    Store at -20℃. Avoid freeze / thaw cycles.
  • Applications
    WB 1:500 - 1:2000
    IHC 1:100 - 1:200
  • Validations

    Western blot - PRSS1 Polyclonal Antibody

    Western blot - PRSS1 Polyclonal Antibody

    Western blot analysis of extracts of various cell lines, using PRSS1 antibody at 1:1000 dilution.Secondary antibody: HRP Goat Anti-Rabbit IgG (H+L) at 1:10000 dilution.Lysates/proteins: 25ug per lane.Blocking buffer: 3% nonfat dry milk in TBST.

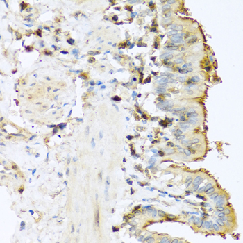
    Immunohistochemistry - PRSS1 Polyclonal Antibody

    Immunohistochemistry - PRSS1 Polyclonal Antibody

    Immunohistochemistry of paraffin-embedded human lung cancer using PRSS1 antibody at dilution of 1:100 (40x lens).

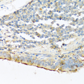
    Immunohistochemistry - PRSS1 Polyclonal Antibody

    Immunohistochemistry - PRSS1 Polyclonal Antibody

    Immunohistochemistry of paraffin-embedded human prostate using PRSS1 antibody at dilution of 1:100 (40x lens).

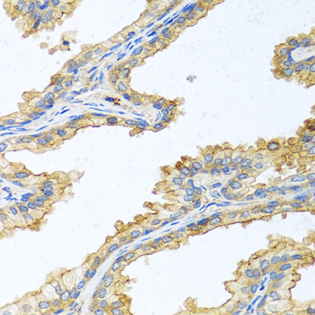
    Immunohistochemistry - PRSS1 Polyclonal Antibody

    Immunohistochemistry - PRSS1 Polyclonal Antibody

    Immunohistochemistry of paraffin-embedded mouse lung using PRSS1 antibody at dilution of 1:100 (40x lens).

  • Background
    Has activity against the synthetic substrates Boc-Phe-Ser-Arg-Mec, Boc-Leu-Thr-Arg-Mec, Boc-Gln-Ala-Arg-Mec and Boc-Val-Pro-Arg-Mec. The single-chain form is more active than the two-chain form against all of these substrates.

Please note: All products are "FOR RESEARCH USE ONLY AND ARE NOT INTENDED FOR DIAGNOSTIC OR THERAPEUTIC USE"