PRPF31 Polyclonal Antibody

Cat.#: 164613

Special Price 226.5 USD

Availability: In Stock
- +

Add to cart to get an online quotation

Product Information

  • Product Name
    PRPF31 Polyclonal Antibody
  • Documents
  • Description
    Polyclonal antibody to PRPF31
  • Tested applications
    WB, IHC
  • Species reactivity
    Human, Mouse, Rat
  • Alternative names
    PRPF31 antibody; NY-BR-99 antibody; PRP31 antibody; RP11 antibody; SNRNP61 antibody; pre-mRNA processing factor 31 antibody
  • Isotype
    Rabbit IgG
  • Preparation
    Antigen: Recombinant fusion protein containing a sequence corresponding to amino acids 1-200 of human PRPF31 (NP_056444.3).
  • Clonality
    Polyclonal
  • Formulation
    PBS with 0.02% sodium azide, 50% glycerol, pH7.3.
  • Storage instructions
    Store at -20℃. Avoid freeze / thaw cycles.
  • Applications
    WB 1:500 - 1:2000
    IHC 1:50 - 1:100
  • Validations

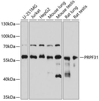
    Western blot - PRPF31 Polyclonal Antibody

    Western blot - PRPF31 Polyclonal Antibody

    Western blot analysis of extracts of various cell lines, using PRPF31 antibody at 1:3000 dilution.Secondary antibody: HRP Goat Anti-Rabbit IgG (H+L) at 1:10000 dilution.Lysates/proteins: 25ug per lane.Blocking buffer: 3% nonfat dry milk in TBST.Detection: ECL Basic Kit .Exposure time: 90s.

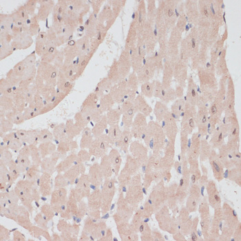
    Immunohistochemistry - PRPF31 Polyclonal Antibody

    Immunohistochemistry - PRPF31 Polyclonal Antibody

    Immunohistochemistry of paraffin-embedded rat heart using PRPF31 antibody at dilution of 1:100 (40x lens).

    Immunohistochemistry - PRPF31 Polyclonal Antibody

    Immunohistochemistry - PRPF31 Polyclonal Antibody

    Immunohistochemistry of paraffin-embedded human gastric cancer using PRPF31 antibody at dilution of 1:100 (40x lens).

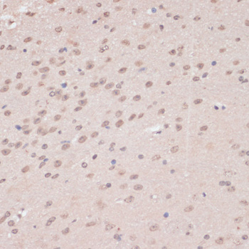
    Immunohistochemistry - PRPF31 Polyclonal Antibody

    Immunohistochemistry - PRPF31 Polyclonal Antibody

    Immunohistochemistry of paraffin-embedded mouse brain using PRPF31 antibody at dilution of 1:100 (40x lens).

  • Background
    Involved in pre-mRNA splicing as component of the spliceosome. Required for the assembly of the U4/U5/U6 tri-snRNP complex, one of the building blocks of the spliceosome.

Please note: All products are "FOR RESEARCH USE ONLY AND ARE NOT INTENDED FOR DIAGNOSTIC OR THERAPEUTIC USE"