PRKAG1 Polyclonal Antibody

Cat.#: 165299

Special Price 226.5 USD

Availability: In Stock
- +

Add to cart to get an online quotation

Product Information

  • Product Name
    PRKAG1 Polyclonal Antibody
  • Documents
  • Description
    Polyclonal antibody to PRKAG1
  • Tested applications
    WB, IHC, IF
  • Species reactivity
    Human, Mouse, Rat
  • Alternative names
    PRKAG1 antibody; AMPKG antibody; 5'-AMP-activated protein kinase subunit gamma-1 antibody
  • Isotype
    Rabbit IgG
  • Preparation
    Antigen: Recombinant fusion protein containing a sequence corresponding to amino acids 1-331 of human PRKAG1 (NP_002724.1).
  • Clonality
    Polyclonal
  • Formulation
    PBS with 0.02% sodium azide, 50% glycerol, pH7.3.
  • Storage instructions
    Store at -20℃. Avoid freeze / thaw cycles.
  • Applications
    WB 1:500 - 1:2000
    IHC 1:50 - 1:200
    IF 1:50 - 1:100
  • Validations

    Western blot - PRKAG1 Polyclonal Antibody

    Western blot - PRKAG1 Polyclonal Antibody

    Western blot analysis of extracts of various cell lines, using PRKAG1 antibody at 1:1000 dilution._Secondary antibody: HRP Goat Anti-Rabbit IgG (H+L) at 1:10000 dilution._Lysates/proteins: 25ug per lane._Blocking buffer: 3% nonfat dry milk in TBST._Detection: ECL Enhanced Kit ._Exposure time: 60s.

    Immunohistochemistry - PRKAG1 Polyclonal Antibody

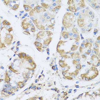
    Immunohistochemistry - PRKAG1 Polyclonal Antibody

    Immunohistochemistry of paraffin-embedded human stomach using PRKAG1 antibody at dilution of 1:100 (40x lens).

    Immunohistochemistry - PRKAG1 Polyclonal Antibody

    Immunohistochemistry - PRKAG1 Polyclonal Antibody

    Immunohistochemistry of paraffin-embedded rat brain using PRKAG1 antibody at dilution of 1:100 (40x lens).

    Immunohistochemistry - PRKAG1 Polyclonal Antibody

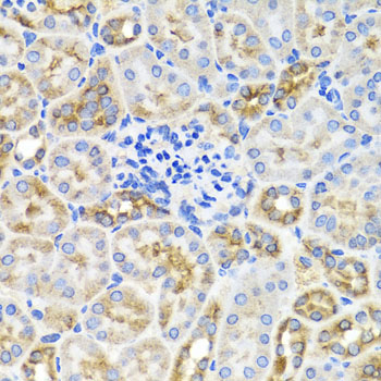
    Immunohistochemistry - PRKAG1 Polyclonal Antibody

    Immunohistochemistry of paraffin-embedded mouse kidney using PRKAG1 antibody at dilution of 1:100 (40x lens).

    Immunofluorescence - PRKAG1 Polyclonal Antibody

    Immunofluorescence - PRKAG1 Polyclonal Antibody

    Immunofluorescence analysis of MCF-7 cells using PRKAG1 antibody . Blue: DAPI for nuclear staining.

  • Background
    AMP/ATP-binding subunit of AMP-activated protein kinase (AMPK), an energy sensor protein kinase that plays a key role in regulating cellular energy metabolism. In response to reduction of intracellular ATP levels, AMPK activates energy-producing pathways and inhibits energy-consuming processes: inhibits protein, carbohydrate and lipid biosynthesis, as well as cell growth and proliferation. AMPK acts via direct phosphorylation of metabolic enzymes, and by longer-term effects via phosphorylation of transcription regulators. Also acts as a regulator of cellular polarity by remodeling the actin cytoskeleton; probably by indirectly activating myosin. Gamma non-catalytic subunit mediates binding to AMP, ADP and ATP, leading to activate or inhibit AMPK: AMP-binding results in allosteric activation of alpha catalytic subunit (PRKAA1 or PRKAA2) both by inducing phosphorylation and preventing dephosphorylation of catalytic subunits. ADP also stimulates phosphorylation, without stimulating already phosphorylated catalytic subunit. ATP promotes dephosphorylation of catalytic subunit, rendering the AMPK enzyme inactive.

Please note: All products are "FOR RESEARCH USE ONLY AND ARE NOT INTENDED FOR DIAGNOSTIC OR THERAPEUTIC USE"