PRDM7 Polyclonal Antibody

Cat.#: 165633

Special Price 226.5 USD

Availability: In Stock
- +

Add to cart to get an online quotation

Product Information

  • Product Name
    PRDM7 Polyclonal Antibody
  • Documents
  • Description
    Polyclonal antibody to PRDM7
  • Tested applications
    WB, IF
  • Species reactivity
    Human, Mouse, Rat
  • Alternative names
    PRDM7 antibody; PFM4 antibody; ZNF910 antibody; PR/SET domain 7 antibody
  • Isotype
    Rabbit IgG
  • Preparation
    Antigen: Recombinant fusion protein containing a sequence corresponding to amino acids 210-310 of human PRDM7 (NP_001091643.1).
  • Clonality
    Polyclonal
  • Formulation
    PBS with 0.02% sodium azide, 50% glycerol, pH7.3.
  • Storage instructions
    Store at -20℃. Avoid freeze / thaw cycles.
  • Applications
    WB 1:500 - 1:2000
    IF 1:50 - 1:100
  • Validations

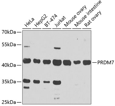
    Western blot - PRDM7 Polyclonal Antibody

    Western blot - PRDM7 Polyclonal Antibody

    Western blot analysis of extracts of various cell lines, using PRDM7 antibody at 1:1000 dilution.Secondary antibody: HRP Goat Anti-Rabbit IgG (H+L) at 1:10000 dilution.Lysates/proteins: 25ug per lane.Blocking buffer: 3% nonfat dry milk in TBST.Detection: ECL Enhanced Kit .Exposure time: 30s.

    Immunofluorescence - PRDM7 Polyclonal Antibody

    Immunofluorescence - PRDM7 Polyclonal Antibody

    Immunofluorescence analysis of A549 cells using PRDM7 antibody .

  • Background
    Probable histone methyltransferase.

Please note: All products are "FOR RESEARCH USE ONLY AND ARE NOT INTENDED FOR DIAGNOSTIC OR THERAPEUTIC USE"