PPP4R1 Polyclonal Antibody

Cat.#: 165819

Special Price 226.5 USD

Availability: In Stock
- +

Add to cart to get an online quotation

Product Information

  • Product Name
    PPP4R1 Polyclonal Antibody
  • Documents
  • Description
    Polyclonal antibody to PPP4R1
  • Tested applications
    WB, IHC, IP
  • Species reactivity
    Human, Mouse
  • Alternative names
    PPP4R1 antibody; MEG1 antibody; PP4(Rmeg) antibody; PP4R1 antibody; protein phosphatase 4 regulatory subunit 1 antibody
  • Isotype
    Rabbit IgG
  • Preparation
    Antigen: Recombinant fusion protein containing a sequence corresponding to amino acids 324-647 of human PPP4R1 (NP_001035847.1).
  • Clonality
    Polyclonal
  • Formulation
    PBS with 0.02% sodium azide, 50% glycerol, pH7.3.
  • Storage instructions
    Store at -20℃. Avoid freeze / thaw cycles.
  • Applications
    WB 1:500 - 1:2000
    IHC 1:50 - 1:100
    IP 1:50 - 1:100
  • Validations

    Western blot - PPP4R1 Polyclonal Antibody

    Western blot - PPP4R1 Polyclonal Antibody

    Western blot analysis of extracts of various cell lines, using PPP4R1 antibody at 1:1000 dilution.Secondary antibody: HRP Goat Anti-Rabbit IgG (H+L) at 1:10000 dilution.Lysates/proteins: 25ug per lane.Blocking buffer: 3% nonfat dry milk in TBST.Detection: ECL Basic Kit .Exposure time: 5s.

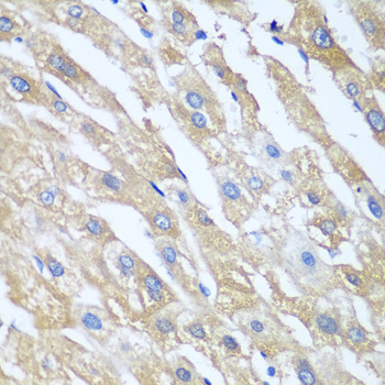
    Immunohistochemistry - PPP4R1 Polyclonal Antibody

    Immunohistochemistry - PPP4R1 Polyclonal Antibody

    Immunohistochemistry of paraffin-embedded human liver using PPP4R1 antibody at dilution of 1:100 (40x lens).

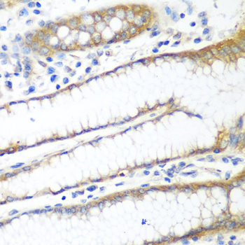
    Immunohistochemistry - PPP4R1 Polyclonal Antibody

    Immunohistochemistry - PPP4R1 Polyclonal Antibody

    Immunohistochemistry of paraffin-embedded human stomach using PPP4R1 antibody at dilution of 1:100 (40x lens).

    Immunoprecipitation - PPP4R1 Polyclonal Antibody

    Immunoprecipitation - PPP4R1 Polyclonal Antibody

    Immunoprecipitation analysis of 200ug extracts of 293T cells, using 3 ug PPP4R1 antibody . Western blot was performed from the immunoprecipitate using PPP4R1 antibody at a dilition of 1:1000.

  • Background
    Regulatory subunit of serine/threonine-protein phosphatase 4. May play a role in regulation of cell division in renal glomeruli. The PPP4C-PPP4R1 PP4 complex may play a role in dephosphorylation and regulation of HDAC3.

Please note: All products are "FOR RESEARCH USE ONLY AND ARE NOT INTENDED FOR DIAGNOSTIC OR THERAPEUTIC USE"